ある冬の日、まだまだ病院を開けて間もない時間帯、”さあ、これから頑張るぞ”、というそんな中で緊急を告げる電話が鳴り響きました。
「飼い猫がマンションの5階から落下したみたいなので、すぐ連れていきます。!!!」
飼い主さんがネコちゃんを連れていらっしゃるまで約15分。
冬の動物病院の朝というのは比較的のんびりと時間が過ぎてゆくものなのですが、緊急の連絡から一変、慌ただしくスタッフが動き回ることになります。
このような場合、様々なかたちの外傷を想定して受け入れ準備を行います。当然、外傷とはいっても、ただのケガではなく、外傷性ショックなどによる「全身打撲で意識不明レベル」の命にかかわる外傷までを必ず考慮しなければならないのは、以前のコラム「8階から転落~外傷性口蓋裂」のコラムで述べた通りです。
>>>「8階から転落~口蓋裂」
———————————————–
そうこうしているうちに、慌てた飼い主さんが、ネコちゃんを抱えて来院いたしました。飼い主さんは最初は猫ちゃんが落下したことには気づかず、部屋からいなくなったので必死に探されたそうです。その際にバルコニーの遥か下でうずくまっていたところを発見されました。
室内生活の猫が落下、逃走などで突然、屋外に放り出されてしまったようなケースではパニックに陥った猫がそのまま行方不明になってしまうことも多いため、とにかく保護できてよかったという状況です。
診察室内では幸いなことに猫ちゃんの意識ははっきりしており、意外にも落ち着いていました。ちょっと気が動転しているような様子がありましたが、通常の診察を受けられるレベルです。
身体検査では全身がかなり痛い様子で、猫ちゃんは触ろうとすると威嚇してきます。その原因はすぐに分かりました。右側の脛骨遠位端(スネの骨の先端)の骨折があり、後ろ足を動かそうとすると足先が90度くらい内側外側へと自由自在に向いてしまい、ぶらぶらと力なく引きずられています。
よく見ると、骨折した骨の端が鋭利な刃物のようになって、皮膚の内側から皮膚を突き破っているではありませんか。(下写真でオレンジ矢印の先端が尖っている骨)
腹部臓器の損傷を確認するために超音波検査を行います。いわゆる内臓破裂(胸腔内出血や腹腔内出血、膀胱破裂など)は見られませんでしたが外傷性ショックを起こしている可能性があるため、直ちに血管確保を行い、必要な輸液と血圧や循環血液量を維持する薬剤や鎮痛剤などを順次投与していきます。
レントゲン検査では脛骨骨折と同時に上腕骨骨折が確認されました。脛骨の骨折部分には写真では見えにくいですが3つの骨折面があり、大小2つの骨片(骨の破片:緑マーカーの間)を伴って割れています。こういった骨が砕けたような骨折を分類上、粉砕骨折と呼びます。この例ではさらに骨折端(オレンジ矢印)が皮膚を突き破って一部外に出ていますので、複雑骨折(開放骨折)の状態です。
右前脚の上腕骨斜骨折もみられましたが、こちらは骨が外に出ていない単純骨折でした。この骨折も厄介なものですが、今回のテーマから外れるため割愛いたします。
こういった場合、飼い主さんには、"こんなにひどいケガとか骨折をすぐに直さなきゃだめじゃないんですか?!"と言われることが多いのですが、必ずしもそうではありません。
骨折や目に見えるケガというのは大量出血があるなどを除き、緊急時において後回しになることがしばしばです。これは外傷性ショックなどの目に見えない異常のほうが生命に対してより危険が大きいためなのです。
3日程度、輸液と鎮痛剤、開放骨折に対する抗生物質を使いながら治療を行いました。猫ちゃんは次第に元気を取り戻し、持ち前の若干のファイターぶりを発揮し始めました。入院室の中で「シャー、シャー」と、スタッフが通る度に、威嚇します。これはこれで骨折の治療の上では、かなり困ったことですが。。。まあよしとしましょう。
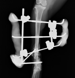
条件が整いましたので、上腕骨骨折、脛骨骨折を2回に分けて整復手術を実施いたしました。上腕骨骨折の説明と経緯は話題が散漫になりますので今回は割愛いたします。脛骨骨折の手術後が下の2枚の写真です。上写真が外観、下がそのレントゲン写真です。
写真をご覧になって、なんだか痛々しそうな、少々大げさな感じを受けた方は多いのではないかと思いますが、こういった骨折の整復手術の方法を「創外固定法」と呼びます。読んで字のごとく「傷の外で固定する方法」です。
この方法は骨に本来かかる様々な力を、骨を貫通する金属ピンを通じて周囲の金属ロッド(写真で棒のように見えるもの)や、レジン(写真で灰色の粘土のように見えるもの)で受けて内部の骨折を外で固定する骨折整復法のひとつです。
オレンジ矢印の部分で骨折端が体外に飛び出しており、廃液(膿などの液体が出ること)しておりましたので、そこにはドレーン(排泄のための管)を設置して、感染の治療を同時に行っていきます。
創外固定法には様々な利点と適用例があるのです。(字数を消費するのでこのコラムでは割愛させていただきますが。)今回この方法を選んだ大きな理由はこの骨折が複合骨折(粉砕骨折)であると同時に特にその一部が、開放骨折(複雑骨折)であったからです。ちょっと面倒な説明ですが、以下をお読みください。
———————————————-
開放骨折(複雑骨折)とは。。。。。?
骨折した骨が体の外に開放されている状態の骨折のことです。細菌感染などで骨折部位が汚染されたり、それによって骨の治癒能力が低下し、治療が複雑となることから複雑骨折と呼ばれます。骨折治療のみならず、感染に対する治療も必要ですから、単純な骨折と異なり手術法の選択肢も少ないうえに難易度が高く、長期の治療が必要になります。
複合骨折(重複骨折)とは。。。。。?
1つの骨が何か所かで骨折している状態(骨折線が複数存在する状態)の骨折のことをこう呼びます。一般的な誤解ですが、骨が複雑に骨折しているという意味で、こちらの骨折を複雑骨折だと思っている方がほとんどではないでしょうか?とくに細かく離断している場合には粉砕骨折と言われます。
———————————————-
というわけで、今回の脛骨骨折は骨が外に出ている開放骨折、折れた骨がバラバラになっている複合骨折(粉砕骨折)、さらに骨折の場所が遠位端(骨の体から遠い端っこ)と、骨折手術のやり難さと治り難さの悪条件が3拍子揃っていました。こういった場合には創外固定が唯一の選択法になるのではないでしょうか。
開放骨折では骨折端が空気に触れて、乾燥や汚染が生じます。加えて細菌感染のために骨や周囲組織の治癒力が弱く、骨折の治癒は遅々として進みません。このため単純な骨折よりも長い数か月以上をかけて治癒が進みます。そういった複雑な要因を持つ骨折という理由で、医学的には複雑骨折という名前がついているのです。
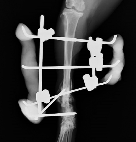
下のレントゲン写真は手術8か月目のものです。通常の単純な骨折ならば既に完治している期間です。骨折は冬でしたが、固定を外すのが夏になってしまいました。ほぼ同時に手術したもう一か所の上腕骨骨折はプレートによる内固定で手術2か月弱で治療を終えていることを考えると非常に長い治療期間でした。
長期間かけてようやく少しづつ仮骨形成(骨がくっつき始めること)し始めましたので、レジンを除去して5本あった金属ピンを3本に減らした写真です。こうすることで徐々に骨に負荷をかけていきます。
下の写真はその後の患者さんの様子です。だいぶ固定が軽くなった様子で、段差のある場所も走り回れるようになりました。この後、一か月程度ですべての固定を除去します。
1か月後、最終的なレントゲン検査を行い、すべての固定を除去いたしました。
左下の写真がすべての固定が除去された後の骨折部位の写真です。赤矢印で示した骨のふくらみが、仮骨といわれるもので、骨折部位を横から支えています。これは長期間かかりますが、元の骨に吸収されて収斂していきます。
右下の写真は9か月の間、自由奔放なネコちゃんの活発な動きから最後まで骨を守ってくれた創外固定の器具の一部です。飼い主さんは最後までずっと大切にすると、大事そうに手に取り、ご自宅に持ち帰られました。。。
このコラムをご覧になっている皆様方には開放骨折(複雑骨折)がなぜ、「複雑骨折」と呼ばれるか?という意味を多少なりともご理解いただければ幸いです。
とにもかくにも、猫ちゃんも飼い主さんも長い期間にわたる治療、大変お疲れ様でした。。。
———————————————-
最後に。。。マンションの高層階からの猫の落下事故は後を絶ちません。飼い主さんがちょっと目を離した隙にそれは一瞬で起こります。残念ながら、多くの例では取り返しがつかないことに直結いたします。運よく生還したとしても、動物たちには耐えがたい苦痛とストレスを、飼い主さんには治療に際して様々な負担がのしかかることが多いものです。
高層階にお住まいの方には明日は我が身の問題です。くれぐれお気を付けください。。。
———————————————
文責:あいむ動物病院西船橋 病院長 井田 龍









