今回のコラムのテーマは犬の「椎間板ヘルニア」についてです。
この「椎間板ヘルニア」はまるでダックスフント特有の病気かと勘違いをしてしまうほど、その発生は他の犬種と比較して群を抜いています。実際にダックスはなんらかの痛みを訴えた場合にはイコール「椎間板ヘルニア?」という「仮診断」をもらう機会が、動物病院においてかなり多いのではないでしょうか。そういったステレオタイプな連想は飼い主さんのイメージだけではなく、我々獣医師側にもみられるほど強いものです。
———————————————-
余談ですが、「ヘルニア」という言葉はしばしば耳にする有名な?医学用語ですが、どうも言葉自体が独り歩きしているように思います。本来の意味ではなく、何か「背中に起きる痛いモノ」というイメージを持ってらっしゃる方が多いような印象です。もともと「ヘルニア」というのはラテン語で、「突出する」といった意味合いの用語です。つまり、何かが飛び出すことによって生じる病名には「~ヘルニア」という名前がつくことになります。
笑えない小話ですが、まだ飼い始めたばかりでワクチン接種に来たダックスフントに、「臍(さい)ヘルニアがありますね。」と飼い主さんに説明したところ、飼い主さんがびっくり憤慨して、”こんな若いのにヘルニアだなんて!全然痛くないのに嘘を言ってるんじゃないのか?”、と診察室の空気が一瞬凍り付いたことがあります。
おそらく飼い主さんはダックスフントに「ヘルニア」という大変な病気が多いということを知っていたのでしょうが、これはとんだヘルニア違いです。臍ヘルニアはへその緒が外れた後に腹膜が閉鎖せず、お腹の中の脂肪などが「飛び出た」もので、よくある緊急性の少ない異常ですが、このような飼い主さんとの認識のズレによる「ヘルニア違い」は程度の差こそあれよく経験するものです。。。
———————————————-
ちょっと横道に逸れ過ぎましたので本題に戻ります。正常な椎間板は左下の図(※)のように椎骨(背骨)の骨と骨の間に存在し、中心にあるゼリー状の髄核と、この髄核を取り巻く線維輪で構成されており、背骨に加わる圧力を吸収するクッションの働きをしています。
(※)模式図はアニコム損害保険、「どうぶつ親子手帳」、「椎間板ヘルニア」から引用してあります。http://www.anicom-page.com/all_disease
椎間板ヘルニアとは、この椎間板が高齢や遺伝的な素因によって変性して、髄核や繊維輪の一部が飛び出して、脊髄神経を圧迫したり、その際の出血や周囲の炎症のために激しい痛みや痺れ、その神経の支配を受ける部位の知覚や運動神経の麻痺などの神経症状を生じる病気です。
首〜腰までのいずれの椎間板でも起こりえますが、約8割が胸部と腰部の椎間で発生します。特に、胸椎と腰椎の中間付近(肋骨がなくなる辺りの椎間)で最も発生頻度が高くなります。犬種ではダックスフントでの発生が際立って多いのですが、その他、ペキニーズ、ビーグル、パグなどにもみられます。
ヘルニアというと痛いという連想が働きますが、代表的な症状としては様々な程度の歩行異常や麻痺、痛み、排尿障害を生じます。
歩行異常は軽度のものから、知覚や運動調節機能の喪失によって不全麻痺に至るまでの段階があります。軽度のものでは「段差を登れない」、「後肢のふらつきがある」、「ターンする時に後肢がよろめく」などの変化で異常に気づくかもしれません。重度のものでは起立不能に陥ります。
痛 みを示しているわんちゃんの表現方法は様々です。「ヘルニア」が起きた部位を、「触ろうとすると嫌がる」というのが分かりやすい症状ですが、「動きたがら ない」、「ふるえ」や、「筋肉の緊張」も痛みの症状のひとつです。どこを触ろうとしても鳴き叫んだり、抱き上げる際にどこかを痛がるような、いわゆる『抱 きキャン』といわれるような、痛みの部位がよく分からないことも多いものです。頸部の「ヘルニア」はその影響が四肢に渡り、より強い痛みを伴うことが多くみられます。
排尿障害は歩行異常によってトイレまで歩けなかったり、後肢が踏ん張れないために排尿姿勢が取れないなどの理由もありますが、尿意を意識せずに漏らしてしまう失禁、尿が溜まっているにもかかわらず、排尿刺激が起こらず排尿困難をきたすものまで、様々な段階が見られます。特に排尿困難を伴い、痛覚を消失した不全麻痺はヘルニアの重症度と緊急性が高いと判断されます。
椎間板ヘルニアを疑う患者さんが来院した場合には、その程度にもよりますが、レントゲン検査がまず最初に必要な検査となるでしょう。ところが、この検査では椎間板ヘルニアの確定診断にはなりません。
それは「ヘルニア」はレントゲンに映り難く、診断精度が高くないためにその存在を疑うことはできても診断はできません。では、何でレントゲン検査をするの?と思われると思いますが、これは除外診断といって、同じような症状を起こす骨折や脊椎炎、腫瘍など椎間板ヘルニア以外の可能性はないかどうか確認するためのものです。
レントゲン検査の欠点を補う目的で、体の各部の刺激に対する反応を評価しながら系統的に行う、神経学的検査が実施されます。この検査で予想される神経的な異常部位とレントゲン検査の結果と合わせて病変の場所を予想します。
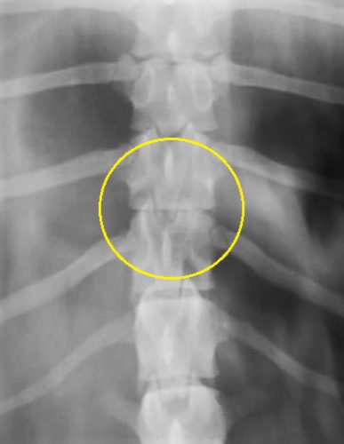
下の写真が椎間板ヘルニアのレントゲン写真です。黄色丸の中に「ヘルニア」があります。よく目を凝らしてご覧ください。
いかがでしたでしょうか?何か見えましたでしょうか?実は何も見えていません。ところが、ここにはかなり重度の椎間板ヘルニアがあるということが分かりました。
椎間板ヘルニアの確定診断や外科治療を検討する際にかかせない検査がMRIやCTです。これらの画像検査により、椎間板ヘルニアの診断と、その部位、脱出物の評価や脊髄神経にどのぐらいの障害を及ぼしているのかを正確に確認することができます。この検査によって正確な診断と適切な手術計画を立てることができます。
下の写真はのMRIでの椎間板ヘルニアの見え方の一例です。黄色丸の中にヘルニアを起こしている圧迫物質が「黒い影」として映っています。前後を走る白い棒状の脊髄神経を右下から重度に圧迫して、まるで押しつぶしているような画像が見られます。左写真がサジタル像(側面像)、右写真がコロナル像(水平の縦切り像)です。
実は、上のMRIの画像は上に示したレントゲン写真と同じ患者さんの全く同じ部位を撮影したものです。どうでしょうか?MRIの特長がなんとなくお分かりになりましたでしょうか。。。
MRIではさらに、ヘルニアを起こしている部位の特定だけではなく、周囲の脊髄神経の出血や炎症の存在、腫瘍や脊髄梗塞など、椎間板ヘルニア以外の病気の可能性を除外します。特にMRIは神経を画像で評価する能力に優れており、炎症による障害の程度や椎間板ヘルニアに伴う致命的な脊髄軟化症の診断をすることができます。
では、椎間板ヘルニアの治療にはどういったものがあるでしょうか?
症状が軽く、レントゲン検査だけ、もしくは検査を行わずに「椎間板ヘルニア疑い」、という「仮診断」で、痛みや軽度の歩行異常がみられ、通院で治療が可能な場合にはまず内科的治療を実施します。こういった場合、プレドニゾロン等の副腎皮質ステロイド薬(炎症を抑え、神経の腫れを軽減させます)、や各種の非ステロイド系抗炎症薬を選択されます。
また、症状の程度により抗炎症作用を持つ薬剤と合わせて、痛みやそれによる緊張などを考慮して、ブプレノルフィンなどの中枢性鎮痛薬(脳内で痛みを遮断する薬)やジアゼパムなどの筋弛緩薬(痛みで緊張した筋肉を緩める薬)などを組み合わせて使用します。
痛みが慢性化したり、症状が繰り返し起こる患者さんには、いわゆる「神経障害性疼痛」を和らげる薬剤としてプレガバリンやトラマドールといった、慢性痛やしびれを改善する薬剤を用いることもあります。補助薬としてビタミンB12を含む複合ビタミン剤を使用することもあります。
———————————————-
急性経過のものでは不全麻痺の程度によっては入院による経過観察を行います。前述のステロイドをはじめとする抗炎症薬に加えて、炎症細胞による神経損傷を抑えて神経保護作用を持つシベレスタット(商品名エラスポール)を用いるケースがあります。特に症状が出て間もない場合に効果が高いとされている薬剤です。しかし、数日以内に改善が無い場合には早期の外科治療を考慮しなければなりません。
急性発症で最初から重症度が高いとか内科治療に反応しない場合、MRIなどの画像診断を経て椎間板ヘルニアを診断した後、できるだけ早期に手術を行います。手術の目的は脊髄神経の減圧(そこをカバーしている骨の除去)と原因となっている圧迫物質の除去です。これは背骨(椎弓や椎体)を削り、脊髄を露出させて脊髄を圧迫している椎間板物質をできるだけ取り除くという結構大がかりな手術です。
手術方法にはいくつかの方法があり、最も多く行われるのが、背中側から圧迫物質を除去して減圧する片側椎弓切除術や椎弓切除術、頸部の椎間板ヘルニアに対しては腹側(喉側)から行うベントラルスロット(腹側造窓術)が多用されます。いずれの方法も下の写真のように椎骨の一部に「窓」を形成して脊髄神経への圧迫を減圧して、飛び出した椎間板物質(黄緑矢印)を除去するということを基本とします。
下の写真は片側椎弓切除術(ヘミラミネクトミー)を実施した後の術中写真です。黄色矢印が、椎弓(背骨の一部)を切除して減圧された脊髄です。内部に見られる白い棒状のものが脊髄神経です。この写真では脊髄を圧迫していた物質は既に除去されております。
下の写真が、摘出された椎間板物質、3例です。固いものからゼリー状、液状までいろいろな形態をとります。色調も様々です。
最近では手術後にはリハビリや針治療といった治療が付随して行われることが多くなってきました。動物病院によってはリハビリ用の施設を持つところも出てきています。。筋肉量の低下や関節の拘縮などで運動能力が低下してしまうと治療後の治癒が遅れたり、障害が残ることもあり得ます。このため、手術後や長期治療が必要な場合、リハビリを含めて適切な管理をする必要があります。
椎間板ヘルニアの予防や再発防止は遺伝的素因を持つ犬種では難しい課題ですが、適切な体重の維持と過度な運動を避け、バリアフリーな環境を用意するなど生活環境の改善が必要かもしれません。日頃から適度な運動を行い筋力低下を防ぐ必要もあるでしょう。
文責:あいむ動物病院西船橋 太田 晶子、井田 龍









