まずはじめに。。。
わんちゃん、ねこちゃんと生活する上で、異物の誤飲や誤食というのは飼い主さんが最も注意されているであろうことのひとつですが、それでも多くの方が、一度や二度は”ヒヤリ”としたご経験をお持ちのことと思います。異物の誤飲にまつわる問題は特に救急医療の現場でその発生が多くみられるものです。
何かの拍子に飲みこんでしまう「おもちゃ」、日常生活に溢れる「あらゆるモノ」が引き起こす緊急事態は、一体どんな仕組みで起こるのか?なかなか実感がわきにくいかもしれません。
その問題の多くは誤飲された異物が胃内異物となり、その異物または一部がさらに小腸を通過する際に腸閉塞を生じて、様々な時間経過を経て急性発症するものです。
発症までの時間経過としては誤飲から数日以内のことが多いようですが数ヶ月、場合によっては何年も前に飲み込んだ胃の異物が原因になることもあります。
———————————————
腸閉塞はその診断と治療の緊急性はもちろん高く、異物誤飲による消化管閉塞での発生件数では群を抜いていますが、同じかそれ以上に緊急性のある消化管閉塞が他にも存在します。そのひとつが「食道内の異物」による急性の食道閉塞です。
食道の異物とはよく見られる胃腸の異物と比較すると、どのような特徴と注意点があるのでしょうか?またそれが引き起こす食道閉塞をどのように診断して、いかに治療していくか?
今回のテーマは普段はあまり目立たない消化器である食道の緊急事態に関して、食道閉塞のさまざまな実例を順を追ってご説明したいとおもいます。。。
———————————————-
食道閉塞の原因となる異物は、本来は充分に消化が可能な家庭内の食品、食材や残飯であったり、犬用ガムやジャーキーなどの市販の「おやつ」など、食べものによって生じることが多いのが特徴です。
これは腸閉塞や胃内異物で多くみられる、身の回りの生活雑貨やゴミのような類の異物などという特徴とはやや異なる特徴です。理由としておやつなどを取られまいとして慌てて飲みこんだりするなどがきっかけになることが多いことが背景があると考えられます。
食道閉塞ではその「原因」と「発見」「症状」がほぼ同時に連続的に起こることが多く、飼い主さんの目の前で起こりやすいため、その緊急性を理解しやすい救急疾患です。
異物を飲みこんでからの発症が予想できない腸閉塞とは異なり、食道閉塞の場合には直後、だいたい数秒から数分以内で、流涎(ヨダレ)や苦悶を伴う嘔気がみられます。重度なものでは気道圧迫による呼吸困難を起こすこともあり、中には生命の危機につながる問題を引き起こしかねないものもあります。
———————————————-
食道内異物はつまった場所とその大きさ、異物の食道内での移動しやすさによって処置内容が変わります。
異物の閉塞が起こる部位は大きく分けて、喉に近い上流の頚部食道(胸腔外)と胃に近い下流の胸部食道(胸腔内)に分かれます。胸部食道での閉塞は胃の入り口、噴門部の手前に最もつまりやすく、心臓の上の心基底部(しんきていぶ)手前の食道閉塞がそれに続きます。
下図は食道の大凡の位置関係と、食道閉塞を起こしやすい場所を示しました。左が頭方向、喉から胸に至り胃の入り口までの食道をレントゲン写真上に合わせてみました。食べ物は左から右に走るオレンジ色の太い線の食道を通ります。3か所の黄色星印が異物閉塞を起こしやすい場所です。
異物が詰まりやすい場所は食道が構造的にわずかに狭くなっている部位のやや手前に一致しています。
食道ではどのような異物であれ、できるだけ速やかに除去する必要がありますが、目立った症状がみられる頚部食道と比べると胸部食道では症状がむしろ弱いことも多く、食道閉塞が見逃されやすいこともあるため注意が必要です。
食道は異物による内側からの圧迫に弱くその修復能力も高くありません。食道の損傷は食道狭窄(きょうさく)や食道拡張、逆流性食道炎、麻痺、嚥下困難など機能的ものも含めて深刻な後遺症を残す可能性があります。
特に胸部食道では発見が遅れたために、食道穿孔(食道に穴が開いてしまうこと)が起きた場合には肺や心臓などの重要臓器を容れている胸の中で激しい縦隔洞炎を生じ、その治療と合併症には死と隣り合わせのリスクを背う可能性があります。
治療は異物が消化可能なもので、食道内を移動できるのであれば、内視鏡(左下写真)を用いて速やかに胃内に落とすことが基本的な対処法です。
頚部食道の上流にある異物や「胃で消化できないもの」、胸部食道に損傷を与える恐れのあるものであれば、直接食道を切開して摘出したり、内視鏡を操作しながら、様々な異物摘出鉗子(下写真)などを用いてそのまま口から取り出することもあります。
胃に落とした食道の異物はそれが胃で消化されるものであれば経過観察をしますが、そのまま胃内に留まったり、後に腸閉塞の危険を起こす恐れがある場合には、胃切開を行って摘出することもあります。
飲みこんだ異物が大きい場合には、直ちに上流の頸部食道でつまってしまうことがあります。こういった場合には激しい苦悶をともなう嘔気と呼吸困難などで緊急化していますから、直ちに食道切開を行って摘出する必要があるかもしれません。
つまり食道内異物はそのすべてが緊急性の高い患者さんであって1日たりとも様子見ができない、時として数分を争う救急疾患であるというのが胃腸などの消化管内異物とは異なる点です。
———————————————-
【ケース1】
胸部食道、胃の噴門部手前の異物
◯リンゴ
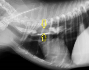
”食卓の上の切った「リンゴ」を丸呑みして、気持ち悪そうにじっとしている”、という訴えで来院した小型犬のケースです。診察台の上では何回かの嘔気が見られましたが、吐しゃ物は出ずに確かに気持ち悪そうしています。
こういった場合、まず、レントゲン検査を行って異物の見当をつけます。下の胸部レントゲン写真で黄色い矢印に挟まれた部分が少し白っぽく見えるのがお分かりでしょうか?実は画像診断ではこういった特徴ですぐに胸部食道の異物を疑うことができます。
下の写真が食道バリウム造影検査を行って確定診断を行った写真です。同じ部位に造影剤によって明らかになった形のはっきりしない異物が造影されています。
リンゴ程度のカタマリがいかにレントゲン写真に映り難いのかがお分かりになりますでしょうか?
下の写真が当日、緊急の内視鏡検査を行った胸部食道の異物です。異物は胃の入り口の噴門部を越えることができず、噴門部の手前で引っかかっています。
”リンゴを飲み込んだ”、という飼い主さんの情報から、この塊が消化可能なものという判断して、内視鏡で胃内へ異物を落として終了いたしました。
———————————————-
【ケース2】
胸部食道、胃の噴門部手前の異物
◯牛皮ガム
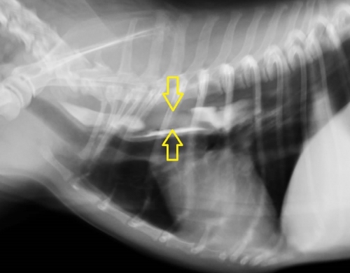
”飼い主さんに取り上げられそうになった「牛皮ガム」を丸呑みしてしまった”、という訴えで来院した小型犬です。気持ち悪そうにしていて、吐いているが吐しゃ物が出ないということでした。診察室ではやはり時折震えて、吐くようなしぐさをしていますが何も出ません。
下写真は胸部レントゲン検査の画像です。【ケース1】と同様に黄色の矢印の間にわずかに白いエリアが見られます。
確定診断のための造影レントゲン写真は下のようになりました。バリウムの侵入が少なくやや見にくいですが、四辺形らしい形のはっきりしない食道内異物が確認できます。
【ケース1】の異物よりも造影剤が入らないため見えにくくなっていますが、これは異物が食道粘膜と密着しているということを意味します。その意味は内視鏡検査の際に明らかになります。
次の写真が当日、緊急で行った内視鏡検査の様子です。唾液や分泌物を吸い込んで膨張した「牛皮ガム」が噴門部手前の胸部食道の出口で食道閉塞を起こしておりました。この部位は【ケース1】と同様に胸部食道で最も閉塞を起こしやすい場所です。
消化可能な異物ですから、内視鏡によって胃内へ落とすことを試みましたが、異物は角張って食道粘膜に食い込んでおり、さらに唾液等でベタベタになった牛皮ガムが食道粘膜と密着して胃に落とすことはおろか動かすことさえできませんでした。
最終的に周囲に潤滑剤を注入し、異物を粘膜から浮かせてようやく胃内へ落とすことができました。
ところで、上の写真のように、このように大きな牛皮ガムでもレントゲン写真にはっきりと写らないということがお分かりになりますでしょうか?
———————————————-
【ケース3】
頚部食道、咽頭部から食道に達している異物
◯犬用ジャーキー
おやつのジャーキーを慌てて食べた後、”何かを吐こうとして止まらない”、という訴えの小型犬です。診察室ではかなり嘔気が強く、盛んに何かを吐き出そうというしぐさが見られました。腹部、胸部レントゲン写真を撮影しましたが、特に異常は見つかりませんでした。
”ジャーキーを食べた直後”ということと、診察室での様子からやはり食道の異物が疑い、頸部のレントゲン検査に加えて、確定診断のためにバリウムによる食道造影を実施したのが下写真です。
頸部レントゲンで、「異物が存在する」はずの黄色の丸で囲んだエリアには異常は認められません。
ここでバリウム造影検査を行ったものが下写真です。上の写真黄色のサークル内でほぼ見えない異物が造影剤で浮かび上がっているのがお分かりだと思います。異物は咽頭のすぐ下から食道に入って数センチ以内の場所に存在しているようです。
当日、緊急で実施した内視鏡検査が左下写真です。下の方に見える管状のものは全身麻酔時に人工呼吸装置とつながっている呼吸管理用の気管チューブです。チューブの入っている穴が気管の入り口、その上、9時から3時方向に見えるものが食道内異物、ジャーキーの塊のようです。
見つかった異物は食道上流で口に近かったため、そのまま胃に落とさず分割して摘出いたしました。異物の一部の写真が右下です。唾液をまみれて表面は柔らかくなっておりますが、芯が硬く、引っかかりやすい形状をしており、食道入り口に「フック」のように一部が引っかかって、その奥数センチにまで達していました。
ところでこのジャーキーですが、
ここまで大きな異物がレントゲン写真には写らないことは、実はよくあるのです。
———————————————-
【ケース4】
頚部食道、咽頭部から食道に達している異物
◯おやつ用の牛骨
”牛骨のおやつを食べてから様子が変です。”、という中型犬が来院いたしました。診察室内では嘔気を繰り返してとても苦しそうです。また、頸部の触診を嫌がり、おとなしく診察することができません。
飼い主さんの訴えから、やはり上部消化管の異物、おそらく骨だろうと考えて胸部と腹部そして頚部のレントゲン写真を撮影いたしました。
頚部レントゲン写真には、わんちゃんの骨格と違う「骨のレントゲン像」が見えます。(下写真の黄色矢印)、レントゲン写真にて異物の確認ができましたので造影検査は行わず、当日に内視鏡により摘出いたしました。
下写真のような、かじられて両端がギザギザとなった「おやつの牛骨」が食道のすぐまさに入り口の粘膜に左右に突っ張るように引っかかっておりました。
下二枚の写真、青矢印の先が摘出中の「おやつ」です。周りの粘膜がかなり腫れており、気道の一部を閉塞しています。
口からの距離も近く、鋭利な異物を食道から胃に落とすわけにはいきませんので口からの摘出となりました。右下の写真が摘出された牛骨(あばらの骨)のおやつです。
このように骨のような硬い異物になるとレントゲンに写りやすくなってきます。
———————————————-
【ケース5】
胸部食道、心基底部(心臓の上)の異物
◯デンタルボーン
”デンタルボーンを飲みこんで苦しそうにしている。”、という小型犬です。診察室では元気に歩き回るものの、時折、嘔気で何かを出そうとしていますが出ません。このわんちゃんは日頃から歯の手入れのために「デンタルボーン」を常食にしているようです。
飼い主さんからの申告により、食道内異物はほぼ確実ですのでレントゲン撮影を胸部と腹部で行いました。
下の写真が胸部レントゲン写真です。黄色い矢印に挟まれた「白く細長い異物が見えると思います。この場所は胸部食道の心基底部(心臓の上)に近い部分で、食道閉塞を起こしやすい場所です。写真ではまた。食道閉塞に伴って飲み込んだ空気によって食道拡張がみられています。(右の赤い矢印の間)
ふつう、食道はレントゲン写真に写らないのですが、このわんちゃん、かなり苦しかったらしく大量の空気を飲んでおり、食道と胃に空気が入っています。このため、飲みこんだ空気が「造影剤」となって、異物が「空気造影」されており、幸いにもレントゲン写真で異物の存在が明らかになりました。
食道の状況を見るためにバリウム造影を行ったのが右下の写真です。造影剤は異物の周囲を速やかに通り抜けており、異物は食道に密着している状態ではない様子ですが、どうも両端で食道に引っかかっているような感じではないでしょうか。
右下画像が内視鏡画像です。この異物は消化可能ですので、当日に胃内へ落として無事に終了いたしました。
ところで、上の5例のリンゴ、牛皮ガム、ジャーキー、牛骨、デンタルボーンなどの見た目に明らかな異物のうち、牛骨以外の異物が意外にレントゲン写真に写りにくいということがお分かりになりますでしょうか?
このうち、5例目のデンタルボーンは、たまたま空気を飲み込んでいたために、その空気で異物が画像に浮き出るように造影されていたもので、本来は見えにくい異物です。
これは、食道内異物 だけでなく、胃や腸での消化管内異物を診断を行う上でとても重要な点です。レントゲン写真に写らない「見えない異物」による消化管閉塞をどう診断するか?これは我々獣医師にとっても、常に直面する悩み深い問題なのです。
———————————————-
まとめです。。。
下の写真をご覧になってみてください。この写真は食道の下流域、胸部食道から胃の入り口である噴門部(中央部のすぼまっているところ)を見ている内視鏡の画像です。
実はこの写真は胸部食道に詰まった異物を摘出した後のものです。異物は「牛皮のガム」でした。この写真は閉塞が起きてから、半日程度経過したところで内視鏡検査を行ったものです。
この画像は食道が圧迫に対していかに弱い臓器なのかを示す画像としてご覧ください。
下の写真で黄色矢印の先がへこんで周囲の粘膜が出血しています、中央部は「牛皮の尖った部分」に圧迫されて潰瘍を作っており、食道穿孔の危険性がありました。
また、緑矢印の先に広い範囲で赤黒く粘膜面の変色が見られます、こちらも圧迫によって粘膜面にうっ血が生じており、食道粘膜にダメージを起こしているのが分かります。
実はこのわんちゃんの飼い主さんは異物の誤飲には気づいておらず、来院の理由は”嘔吐して食欲がない”というものでした。
もし、当日に病院に来院できなければ、もしくは診断できずに様子を見てしまえば、取り返しのつかない問題を生じていたでしょう。診察室でも嘔気が見られませんでした。
冒頭で書いた通りですが、胸部食道の穿孔(せんこう)が起こると周囲の縦隔洞を巻き込む激しい炎症を起こします。治療には開胸手術を行い、最終的には食道を修復しなければなりません。
そういった手術の難易度とリスクは格段に高く、死亡率の高い胃腸管穿孔をも上回るものとなります。
目の前でワンちゃんが喜んで食べている「おやつ」によって、わずか数日でそこまでの問題になるなどという危険性を想像することは普通はできないでしょう。
」食道内異物は、もしも飼い主さんが異常に気付かず様子を見てしまったり、初診で診断できなければ、治療の可能性がそこで断たれてしまう可能性があります。つまり、診察室内で躊躇なく内視鏡検査をするかどうかという選択枝まで到達しなければならないことを意味しますが、これは結構大変なことなのです。
———————————————-
どうしたら、食道内異物による緊急事態を防ぐことができるでしょうか?
この問題はトイ種などの小型犬に頻発いたします。そもそも小型犬ではこういった、原因となりやすいおやつ類を与えないというのが一番安全なことです。やむを得ず与える場合には小さく切って与えたり、その素材をよく選ぶといった配慮が必要と思います。
ある種の「おやつ」や「ガム」が、なぜ、食道の異物として多くみられるのか?その素材には下に列挙したような特徴や共通点があるはずです。常食とされている方はこれらの点にくれぐれもご注意なさって下さい。
〇唾液など水分を吸収して「膨張」して、流れにくくなり食道を閉塞しやすい
〇同様に「表面がベタベタ」になって付着しやすくなり、食道内での移動を妨げる
〇素材が角張っていたり突起物や付属物がある等、食道内での移動を妨げる
〇骨そのもののように、食道を損傷したり、鋭利で引っかかりやすい
〇慌てて丸飲みしやすい大きさ、形状や極端に嗜好性を誘引する
———————————————-
最後に。。。以下の二枚の写真をご覧になってみてください。
この2枚の写真は胸部食道のほぼ同じ場所を撮影したものです。左写真が正常な食道、右が食道損傷から生じた食道狭窄による重度の慢性食道炎の内視鏡検査のものです。
とても同じ場所とは思えないこの2枚写真が食道に起きてしまった変化を物語っています。
下の2枚の写真の緑矢印は上から、それぞれ正常な食道内腔と、”狭窄して狭くなってしまった食道の内腔”を示しています。
狭窄を一旦起こしてしまった食道は、もはや食事を飲み込むことはもちろん、水や流動食でさえ、少しづつしかこの穴を通ることはできないのです。
写真のわんちゃんの食道はもう治ることはありません。
食道内異物による食道閉塞は、もし、一命をとりとめてもこういった重大な後遺症を引きおこす可能性があります。
飼い主さんの皆様、わんちゃんのおやつには充分にご注意なさって下さい。
———————————————-
文責:あいむ動物病院西船橋
病院長 井田 龍




![337759_328100257241116_1096507671_o[1].jpg](/wp-content/uploads/2023/06/337759_328100257241116_1096507671_o%5B1%5D__midium.jpg)














__large.jpg)




