ある昼下がりの午後、いつもなら午前の診察が終わって、やや落ち着く時間ですが、突然の電話連絡が入りました。。。
それは、飼い猫が二階の屋根から転落して、「後ろ足が骨折している」というものでした。電話口からは、どうしたらいいか、どこの病院に行ったらいいのか、困って途方に暮れているということが伝わってきます。
ところが、その経緯を聞かされるや、唸ってしまいました。実はちょうど今、ある動物病院から出たところで、飼い主さんは、「もし、受け入れてくれるのであればすぐ向かいたい」、とおっしゃっています。
詳しくおうかがいしてみると、どうやら猫ちゃんには鎮静処置がされており、ぐったりしている?ようです。
患者さんはそのような異例な経緯で程なくして来院されました。
猫ちゃんは鎮静剤の影響か、うつろな目で沈鬱(ちんうつ)な感じです。落下による外傷の影響なのか薬物の影響なのか、もちろんどのような薬剤が使用されているのか知る由もありません。
飼い主さんは不安の中、獣医師から提案された詳細な血液検査、さらに鎮静までかけて行ったレントゲンなどの検査後に当然、治療の説明と、何らかの処置があると思っていたことでしょう。しかし、それらは行われず、引き継いでもらえるわけでもなく、「骨折の手術はできないから他の病院へ。」と、鎮静状態の猫を返されて途方に暮れてしまっていたそうです。
———————————————-
話がだいぶそれてしまいましたが本題に入ります。
以下は、不幸にも二階から転落、骨折してしまった猫ちゃんの治療に「創外固定法」を用いたお話です。
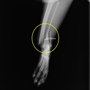
早速ですが、下写真が当院で撮影をやり直した骨折のレントゲン写真です。右写真が「スネの骨」側面から、左が正面像です。「くるぶし」のちょっと上に斜めに大きくずれた骨折が見られます。(黄色丸の中)
骨折は脛骨(スネの骨)の骨折とそのお隣の細い骨、腓骨の(骨が外に出ていない)単純骨折です。通常、腓骨は脛骨とともに折れますから、以下、まとめて脛骨骨折とします。
骨折の分類としては骨に対して斜めに骨折線が走る、斜骨折と言います。また、骨折部位が骨の端にあるため、部位的には「遠位端骨折」といいます。遠位端の斜骨折は整復の難しい骨折のひとつです。
低層階からの転落で、骨折以外に大きな外傷もなく、鎮静剤の影響から程なく脱した猫ちゃんでしたが、特に問題ない様子でしたので、その後に整復手術を実施いたしました。
下の方にある手術時の写真をご覧になって、なんだか痛々しそうな少々大げさな感じを受けた方は多いのではないかと思いますが、こういった骨折の整復方法を「創外固定法」と呼びます。読んで字のごとく「傷の外で固定する方法」です。
この方法は骨に本来かかる様々な「力」を、骨を貫通する金属ピンを通じて周囲の金属ロッド(写真で棒のように見えるもの)や、レジン(硬化するプラスチックや合成樹脂等)で受けて、内部の骨折を外部で固定、安定化させる骨折整復法のひとつです。
骨折の手術は普通、骨折部位を直接見ながら骨を金属プレートなどのインプラントをスクリュー固定させるような内固定のイメージが大きいのではないかと思います。
一方、創外固定は骨折部分露出せず(非開創)に行うことが多く、骨折部位に隣接する健全な骨に金属のピンを皮膚の外側から刺入していきます。この作業には血管や神経を避けつつ、最も効果的な場所に充分な固定を発揮する数のピンを刺入する必要があります。
厚い筋肉に覆われて観察できない骨の限られた安全なエリアに、一本づつ、整形外科用ドリルで穴を穿ちます。それぞれの穴に、たくさんの種類のピンから必要なものを選んで正確な場所に狙った角度で確実に刺していく作業は失敗が許されません。とても神経を使う作業です。
左下の写真が実際に使用するピンの写真です。創外固定用のピンは骨に食い込んで抜けにくいように、ネジ山が外側に切ってある形状が特徴です。ちょっと痛そうですね。。。
骨の安定な固定のための強度を確保できる充分なピン数を刺入した後に、ピン同士を結合する、下の写真のような金属製クランプとそれを固定する棒状の金属製ロッドや樹脂製レジンなどを用いて骨の位置関係を徐々に調節していきます。
骨折は時間が経過すると、周囲の筋肉の力関係によって、骨折端どうしが大きくずれてしまい、元に戻らなくなってしまいます。
これを少しでも正常な位置に近づけるために幾度もレントゲン画像で確認をしつつ、「骨の回転」や「角度」、「引っ張り具合」などをで固定具合を強めたり緩めたりと繰り返し、調節して整復を行っていきます。ピンを穿つ作業はとても「繊細な作業」ですが、この整復に関わる作業には時間もかかり、忍耐力が必要です。
下の写真は骨折の整復手術の開始から2時間超、骨折端の位置決めが終わって、手術もそろそろ佳境に差し掛かった時点での写真です。
レントゲン写真は、レジンでの補強後の最終的なものです。骨折直後の写真と比べてると、大きくずれていた骨折部位がほぼ戻っているのがおわかりになるでしょうか?
下は手術後の側面からのレントゲン写真です。しっかり固定できましたので、この後は骨の癒合を待つだけです。運動制限はありますが、創外固定の器具が健康な骨の代役を担ってくれますから、猫ちゃんは手術後には自由に動き回ることができます。
下の写真が手術後3か月目のものです。補強のためのレジンとピンの約半数を除去した後の写真です。
だいぶ身軽になったせいでしょうか、持ち前のファイターぶりにさらに拍車がかかってしまい、包帯の交換やら注射などの処置はかなり大変になりましたが、ご家庭では活発に3次元に動き回っているようです。
ここまで来ればもう大丈夫でしょうか。。。
あと一か月程度ですべての固定を除去できそうです。
レントゲン写真を撮るとこんな感じです。
そして完全に固定を除去した後の半年後の写真です。

もう骨折があったことなど分からないくらい、強い骨が再生されています。
自宅でも全く問題ない生活に戻ったということです。この撮影の後にも一発、猫パンチをいただきましたが、以前よりもちょっと遠慮がちに見えたのは気のせいでしょうか。。。
飼い主さんも猫ちゃんも長い間、どうも長い間、お疲れ様でした。。。とりあえず一件落着です。
下の写真は治癒までの長い間、猫ちゃんを支えてくれた器具たちです。
———————————————-
最後に、「創外固定法」のメリット、デメリットについてまとめてみたいと思います。
まず、骨折部位を露出しないため、傷が小さく体に負担の少ない手術です。これは同時に、手術によって骨の治癒の仕組みが破壊されず、骨膜や骨折周囲に生じる治癒を促進する環境が維持されることを意味します。つまり治癒までの期間が短く、さらに「強い骨」の再生が期待できます。
皮膚の外側で3次元的な固定が可能ですから、整復と固定の自由度が高く、骨が外に出てしまう開放骨折やいくつもの断片に分かれる粉砕骨折、今回のような関節付近の遠位端骨折などの「難しい骨折」にも対応が可能です。特に開放骨折に対してはほぼ唯一の選択肢といっていいでしょう。
プレートやスクリューなどのインプラントによる内固定を行った場合、特に小型犬では骨折治癒後にインプラントを除去できるか否かの葛藤の問題が生じます。また、除去するにしてもそのためにもう一度手術を受けなければなりません。創外固定の場合は、健全で強い骨が再生するためにそういった心配がありません。
それでは、「創外固定法」のデメリットは?
皮膚からピンが露出しており、それらにつながるクランプ、ロッド、レジンなどの固定装置が仰々しく外見が悪い?という印象を受けるかもしれません。骨を固定しているピンが露出している、ということは同時に皮膚もしくは内部の組織への感染が起こりやすいということでもあります。また外部に固定装置があるために、放し飼いや野良猫などには様々な危険性があるため行うことができません。
「見えない骨」に対して、安定で確実なピンを入れるという手術感覚を得るのが難しく、また「見えない」ために危険ゾーンを把握せずに実施すると重要な血管や神経を損傷する危険があります。手術にはそれなりの技術と経験が必要とされるため、簡便に実施しにくいということがあるかもしれません。
———————————————-
下の写真はおまけの画像ですが、様々な素材(右からカーボン、チタン、ステンレス)のロッド、ピンとロッドを結合するクランプの写真です。なにやら艶やかでとても美しい、「機能美」を感じられませんでしょうか?


———————————————-
文責:あいむ動物病院西船橋
病院長 井田 龍












