今回のテーマは、「とても痒い」マラセチア性皮膚炎についてです。以前のテーマ、「耳の痛い話~耳血腫」で触れたマラセチア感染が起こす皮膚病についてです。
———————————————-
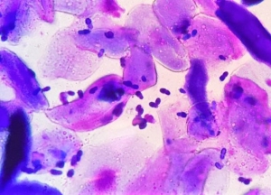
マラセチアとは酵母様真菌に分類される、いわゆるカビの仲間です。現在14菌種が報告されているなかで、犬猫の皮膚病で問題になるのはMalassezia pachydermatis(マラセチア パチデルマティス) という種類です。おもに犬の病気の原因ですが、時折猫での発生も見られます。下の写真がマラセチアの顕微鏡写真です。紫色のピーナッツのように見えるのがマラセチア酵母です。
マラセチア性皮膚炎ではこのカビが皮膚で増え、フケや皮脂(あぶら)を伴う赤み、痒み、脱毛、苔癬化(皮膚の肥厚)などを引きおこします。また「あぶら」を好む性質のため、顏のシワや脇の下などの摩擦部でとくに症状が悪化しがちで再発をくりかえす、「すう壁性皮膚炎」の大きな原因となります。
マラセチアが引き起こす痒みはとても強いものです。これには2つの理由があります。まず、マラセチアは酵母の一種ですから、皮脂を発酵させていろんな代謝産物(ゴミ)を排泄します。これが皮膚に対して強い刺激となること、またマラセチアの菌体そのものが強いアレルギーを引き起こすために、そこに生じる皮膚炎もまた強い痒みの原因となります。
下の写真が典型的なマラセチア性皮膚炎のわんちゃんの写真です。皮膚がベタベタしてとても痒そうなのがお判りでしょうか?
———————————————-
では、そもそもどうしてマラセチアが皮膚にいるのでしょうか?
じつはこの菌は、健康な犬の皮膚や耳にもわずかながら常在して共生しており、健康な皮膚環境のもとでは特に問題を起こしません。もちろん生活環境や他の動物から感染するわけではありませんので元々もっていたものが悪さをするようになるのは、体質や病気など、背景となる基礎疾患によるものが多いのです。
マラセチア性皮膚炎はアトピー性皮膚炎や食物アレルギーや脂漏症(いわゆるあぶら症)などの体質や、甲状腺機能低下症、クッシング症候群など内分泌が関わる病気に至るまで、までさまざまな病気に関連して起こります。
基礎となる病気が治れば皮膚炎も落ちついてきますが、脂漏などの体質によるものやアトピーなど難治性の病気では、皮膚にも長期にわたるケアが必要になることも少なくありません。
ちなみに、マラセチアは健康な人間にも常在しているといわれています。人のマラセチアはMalassezia furfur(マラセチア フルフル)といい、中高年のあぶらの分泌が多い男性の頭皮などで、しつこい痒みを伴うフケ症などでよく問題になります。人では「コラージュフルフル」というヒト用のフケ症用シャンプーが市販されているのをご存知の方もいらっしゃるかもしれません。
”犬のマラセチアがヒトにうつりませんか?”、とよく質問を受けますが、犬で問題になるマラセチアと人間のそれでは種類が異なるため、健康な人間に犬のマラセチアが感染して悪さをすることはほとんどありません。
マラセチア性皮膚炎はあらゆる犬種で見られますが、好発犬種には、シー・ズー、コッカー・スパニエル、ビーグル、バセット・ハウンドなどが挙げられます。個人的には、キャバリア・キングチャールズ・スパニエルやミニチュア・シュナウザーなどでもよく見るように感じます。
この病気の発症、増悪因子として共通しているのは、「脂漏体質」であるということです。
「あぶら」好きなマラセチアが皮膚で炎症を引き起こすと、本来備わっている皮膚のバリア機能がくずれ、二次的にブドウ球菌などの細菌感染も起こしやすくなり、さらに症状が悪化していきます。
また、以前のコラム、「耳の痛い話~耳血腫」でも登場したように、マラセチアは外耳炎でもたびたび問題になります。湿度の高い夏場や「あぶら」の過剰分泌により耳道内の環境が悪くなると、急に増殖して炎症をおこすのです。
>>>「耳の痛い話~耳血腫」
では、そんなマラセチアに対する治療にはどのようなものがあるでしょうか。
基本となるのは抗真菌薬による内服療法と、マラセチアに対して作用のある薬剤(ミコナゾールなどの抗真菌薬)や効果のある物質(硫黄、セレンなど)を含むような薬用シャンプーや軟膏などの塗り薬などによる外用療法になります。とくにシャンプーによる日々のスキンケアは、脂漏体質がある場合には重要なポイントです。治療しはじめの頃や重度の脂漏症などでは、週に何度もシャンプーが必要になることもあります。
そんなに頻繁に?と思われるかもしれませんが、わたしたち人間は毎日お風呂に入りますよね。さらに女性は、お肌のお手入れにいろいろな化粧品を使われる方も多いと思います。犬でも同じように、日々のケアは皮膚の状態を保つのにとても大切なのです。
そしてこの病気では、マラセチアの退治とともに基礎疾患の治療が重要になります。皮膚だけの治療でなかなか完治しないときには、前述のような脂漏症などの体質に根差す問題や元となっている病気へのアプローチをしていく必要があるのです。
皮膚のトラブルにマラセチアが関与しているかどうかは、動物病院にご来院いただければセロハンテープを使ったとても簡単な皮膚検査でわかります。「あぶらっぽい皮膚病」にお悩みのときには、ぜひ一度ご相談ください。
———————————————-
文責:あいむ動物病院西船橋 獣医師 宮田知花





