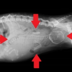
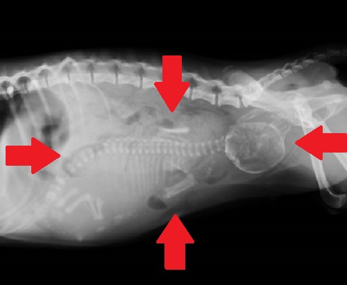
飼い主さんも気づかずに妊娠、突然の破水で緊急来院しました。胎児数は1頭で妊娠期間を大幅に過ぎているようです。胎児はお母さんの子宮内であまりに大きくなりすぎて、骨盤に引っかかってもはや産道から出ることができません。下のレントゲン写真で、お腹の大きさぎりぎりまで大きくなった胎児が確認できます。
来院前に破水がすでに起きてしまっていたようで、胎児の生命に危険が迫っていました。さらに、このままでは胎児の死亡によって母体にも危険が及びます。このため、胎児を救出するために緊急で帝王切開を実施いたしました。
手術によって生まれた赤ちゃんです。兄弟がいなくて少々寂しいですが、お母さんの愛情とミルクを独り占めですね。
スタッフ一同、無事に大きくなれることを願っております。。。
当院では帝王切開の際の全身麻酔に硬膜外麻酔(下半身麻酔)を必要に応じて併用しております。硬膜外麻酔は全身麻酔薬の量を少なくすることができるため、全身麻酔単独でしばしば起こる胎児の呼吸停止のリスクを低下させることができます。娩出後の胎児の呼吸停止は胎児死亡の原因となりますので、これを回避することによって胎児の生存率を大きく高めることができます。






