皆様はレントゲン検査の"デジタル化"と聞いて何を想像しますか?
最近は人間の病院ではお医者さんがパソコン画面ばっかり見てるなーとか、レントゲンフィルムをかざしながら。。。というようなドラマの演出の”舞台装置”として見なくなった、などなど、実はデジタル化の影響というのはそんなところに端的に表れているのかもしれません。

———————————————-
デジタル化以前のレントゲン検査は、扱いの面倒な大きなレントゲンフィルムにレントゲン写真を現像して、シャウカステン(レントゲンフィルムを引っ掛けて裏から光を当てて透過光で観察する専用の装置)にセットするまでの過程に、それに関わる作業の非効率が数多く介在しておりました。
”レントゲン検査”のデジタル化は、身近な”写真”のデジタル化の流れと重ねると分かりやすい現象です。
つまり、デジタルカメラの急速な普及で写真を現像するという一連の作業そのものがなくなってしまい、誰もがそれをデジタルデータとして手軽に持ち運べるようになったとこと。さらに、パソコンなりスマホなど、どの端末でも手軽に確認できるのが当たり前になったということ。
こうしたことと同じようなことが医療用のレントゲン写真でも起きているのです。
こうしたデジタル化の流れは医療の世界で100年を超えるレントゲンの歴史のわずか10年くらいの短期間でレントゲン検査の仕組みを大きく変化させました。
この変化はレントゲン写真の画質を飛躍的に向上させたということに留まらず、レントゲン写真を撮影、処理、管理して、それを患者さんに説明する過程での非効率な仕組みを取り巻く、コトやモノの環境を大きく変えるに至っています。

———————————————-
レントゲン写真を撮影するための装置というのは大まかに分けて「X線を照射する装置」とそれを受けとる「X線を画像化する装置」の2つの仕組みから構成されています。
後者のX線を画像化する「X線検出器」とそれを制御してレントゲンの画像処理やその保管を担う端末を組み合わせてシステム化されていますが、この部分にデジタル化の波が押し寄せているのです。
下記の当院の過去ブログ「新しいレントゲン設備」では、X線(エックス線)の発見やレントゲン写真の原理やその歴史、その発展の流れをX線を出す方の機器、「レントゲン照射装置」とは何か?という視点から解説しています。
ご興味のある方はぜひどうぞ。。。

ところで、レントゲン照射装置とはレントゲン写真を撮影する際の”光源”となる、光の一種のX線を発生する機械のことです。
この装置が野球に例えると”ピッチャー”としての役割を果たす一方で、その照射された光(X線)を受け止めデジタルデータに変換してレントゲン画像の元をつくる、”キャッチャー”としての役割を持つのがX線検出器です。
今回はこの「X線検出器」のお話をしたいと思います。
レントゲンフィルムは”キャッチャー”としての不動の地位をレントゲン博士の大発見から100年以上にもわたる長い間築いてきましたが、わずか10年程度の短期間でその座を奪われてしまうくらいの勢いでX線検出器が普及してきました。
この変化は、仮定の話に例えるとわずか10年くらいにガソリンエンジンの車が一気に時代遅れのものとなり、電気自動車に置き代わってしまうというインパクトに匹敵するものと言えるでしょう。
つまり、このX線検出器こそが医療を皮切りに、それからやや遅れて獣医療でも起きている画像検査のデジタル化をけん引している立役者なのです。
———————————————-
ところで、ここでちょっと脱線しますが、デジタル化以前のレントゲンフィルムによるレントゲン検査はどんなものだったのでしょうか?。。。
15年以上前の話になりますが、話題となり始めた初期のデジタルレントゲンシステムは多くの動物病院にとってはまだ高嶺の花でした。欲しいけれどなかなか手が出ない、イソップ童話の”酸っぱい葡萄”の話を地で行くような感じと言えばいいでしょうか。
曰く、レントゲンフィルムの画質には当分かなわないだろうというアナログへの懐古的な意見がまだ多く、アナログ撮影と比べて画像がどうかという点がフォーカスされ、その他のメリットを期待する意見は目立たなかったように思います。
アナログ時代のレントゲン撮影は光に一瞬たりとも触れたらダメになってしまうというレントゲンフィルムの扱いに終始気を遣う作業の繰り返しでした。自分自身、いったい何枚のフィルムを感光させゴミ箱送りにしたことか。。。
現在のように端末の画面に瞬時にレントゲン画像が映し出される環境に慣れてしまっている環境では想像すらできないですが、”診断できるレントゲン写真”がちゃんと出てくるかどうか、その良し悪しがいちいち問われた時代でした。
レントゲン検査は撮影に先立って、半畳に満たない光の入らない暗室の中で、半ば手探りで縦横B4程のレントゲンフィルムをカセッテという”遮光されたバインダーのような入れ物”に撮影枚数の分だけ、一枚づつ挟み込む作業(下写真)から始まります。

そして、撮影の度に暗室に戻って、再びフィルムを取り出して現像するという、手順を要する作業の繰り返しでした。
当時、既に自動現像機という”画期的?な装置”が普及しており、フィルム現像の工程は自動化されていたため、装置にフィルムを入れれば、”とりあえず”、現像されて出てはくるのですが、一枚当たり7-8分もかかりました。
もちろん、自動現像とは言ってもその手順が自動なだけで、現在のようにディスプレイに”キレイな画像”が自動的にパッと出てくる訳ではありません。なぜか同じ条件で撮影したにもかかわらずいろいろな画質の写真が出てくるのですが、その画像をその後に調節することもできできません。
で、少しでもダメなら全部撮影からやり直しです。
繰り返して数枚撮影する時には、暗室とX線室を何度も往復しなければならず、出てきた画像が”ダメ出し”されればそれまで費やした時間は無に帰します。
放射線技師もいない上に、動物の動きが自由にならない動物病院では4枚程度のレントゲン写真を見るために汗だくで撮影から30分以上ということも、まあよくある話でした。
さらに撮影作業以外にも自動現像機のクリーニングや現像液など水物の交換やメンテナンス、廃棄物処理に至るまで手間とコストがかかったものです。
その昔、その自動現像機の恩恵さえなかった時代のことはもはや想像さえしたくありませんが、暗室の中で「現像液→定着液→洗浄液→乾燥」という現像の工程をすべて手作業で行わなければなりませんでした。
現像液などの薬液の濃度や温度、フィルムを各々漬ける時間配分など経験に頼る部分が多く、現像のノウハウにおいて写真家のような職人芸が必要だったようです。
振り返ってみると、レントゲン撮影という頻繁に行う検査にまつわる環境が非効率であったために、いかに多くの貴重な時間が奪われていたかということにを気付かされます。。。
デジタルレントゲンはその”画質のよさ”というハードウェアの性能にどうしても目が行きがちではありますが、実はその大きなメリットは撮影作業を取り巻く業務を省力化し、誰が撮影しても短時間で同じ結果が得られるということにもあるのです。
———————————————-
現在のレントゲン撮影のデジタル化の先鞭をつけたのがX線検出器としての第一世代のCRレントゲンでのイメージングプレートによるデジタル化です。
このイメージングプレートはレントゲンフィルムを入れるカセッテと同じ形状をしており、外見上はフィルムカセッテとあまり区別がつきません。(下写真)
イメージングプレートには、レントゲンフィルムの代わりにX線を吸収してレーザー発光する特殊なフィルムが入っており、この発光を撮影後にスキャン(現像)することでレントゲン画像を得る仕組みです。
また、イメージングプレートは撮影画像を何度でもリセットして使えます。いわば再生可能なレントゲンフィルムが入っているようなものです。
イメージングプレートの最大の利点は今までの環境を変えずにデジタル画像化を行うことができる点です。もちろん旧来のレントゲンフィルムのような現像液などの面倒な扱いもありません。
下の写真が当院で使用していたCRですが、写真中にある装置がイメージングプレートを読み取るスキャナー装置です。
一方でその短所は下の写真のように、イメージングプレートを撮影の度に取りだしてスキャン(現像)しなければならならないことです。つまり、それが終わるまで画像を見ることができず、連続した撮影や取り直しができない点です。

このように、第一世代のデジタルレントゲンであるCRは古いアナログ環境の影響をどうして受けてしまうため、レントゲン検査のデジタル化にいたる過渡期の装置と言えるかもしれません。
———————————————-
最近では、デジタルレントゲンのシステムはより進化したX線検出器であるフラットパネル検出器(FPD)を用いた次世代のDRに置き換わりつつあります。
次世代型はデジタル第一世代のCRよりもレントゲン検査のさらなる「画像の向上」と「撮影時間の短縮と省力化」、「低被爆化」が達成されてきています。
当院で先ごろ導入したDRレントゲンシステムをご紹介しながら、その特長を説明をしたいと思います。
この製品は富士フィルムが動物医療の環境に対応するべく開発した、最新式のDRデジタルレントゲンシステムです。
下写真でスタッフが抱えている四角い板状の装置がX線を検知して、画像情報の元となるデータを端末に送信するフラットパネル検出器(FPD)です。DRレントゲンシステムを構成する最も重要な装置です。

この装置はX線をとらえてデータ化する撮像素子の集合体、デジタルカメラに例えるとその心臓部の画像センサー当たります。
X線発生装置(光源)から放射されたX線(光)はこのFPDにより感知され、画像の元となるデータに変換され端末に送信されます。この装置は言うなれば巨大なデジカメそのものです。
FPDはレントゲン撮影台の下にあるスペースに通常は隠して設置されますのであまり見ることはありません。
フラットパネル検出器ではCRように撮影の度にイメージングプレートを取り出して別な装置でスキャンする必要はもはやありません。
レントゲン写真は撮影された直後にディスプレイに表示されるため、すぐに高画質なレントゲン画像による診断を行うことができます。
また、このFPDは端末との無線LANによる通信機能を持っており、レントゲン室以外での撮影も可能です。例えば緊急時に待合室や診察室内で撮影を行ったり、手術中にリアルタイムで使用することもできます。
———————————————-
次にイメージングプレートのCRレントゲンとFPDによるDRレントゲンの画像比較をしてみたいと思います。下の写真はそれぞれ同じ猫の正常な胸部レントゲン写真です。違いがお分かりになるでしょうか?
上がCRで下写真が次世代のDRによるものです。
DRレントゲンの画像の方がくっきり明瞭に見える一方、CRではやや曖昧な印象を受けると思います。
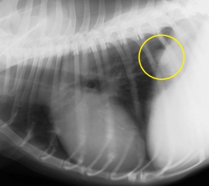
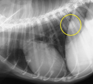
下2枚の写真は同じ犬の胸部レントゲン写真です。どちらも黄色の丸の中に白い円形の何かが見えると思います。
実はこの写真は肺転移した腫瘍のパターンなのですが、上のCRより下のDRの画像の方がよりはっきりと異常を確認できます。どちらも同じデジタルレントゲンなのですが、異常を際立たせるという意味でもDRに優位性があります。
———————————————-
文責:あいむ動物病院西船橋 病院長 井田 龍











