>>>犬の食道閉塞(食道の異物)とは?
異物を原因とする消化管閉塞が食道に発生したものです。様々なものが原因となり得ますが、主に犬用のおやつや食品などを原因とすることが特徴です。「口にしたものを取られまい」と慌てて飲み込むなどがきっかけになることが多く、食品が原因となりやすいというのもそういった背景があると考えられます。
異物の閉塞が起こる部位は大きく分けて、喉に近い上流の頚部食道(胸腔外)と胃に近い下流の胸部食道(胸腔内)に分かれます。胸部食道での閉塞は胃の入り口、噴門部の手前に最もつまりやすく、心臓の上の心基底部(しんきていぶ)手前の食道閉塞がそれに続きます。
下図は食道の大凡の位置関係と、食道閉塞を起こしやすい場所を示しています。左が頭方向、喉から胸に至り胃の入り口までのオレンジ色の太い線で示された食道の中を通ります。3か所の黄色星印が異物の閉塞を起こしやすい場所です。異物が詰まりやすい場所は食道が構造的にわずかに狭くなっている部位のやや手前に一致しています。
>>>犬の食道閉塞の原因は?
食道閉塞の原因となる異物は、本来は充分に消化が可能な家庭内の食品、果物や野菜類などの食材や残飯であったり、犬用ガムやジャーキーなどの市販の犬用おやつなど、食べものを慌てて飲みこむことによって生じることが多いのが特徴です。食べ物以外では釣り針や縫い針が時折見られますが、胃腸内の異物で多くみられる、おもちゃや生活雑貨やゴミのような類の異物はむしろ少ないことが特徴となっています。
>>>食道閉塞の症状は?
食道閉塞ではその「原因」と「発見」「症状」がほぼ同時に連続的に起こることが多く、飼い主さんの目の前で起こりやすいため、その緊急性を理解しやすい疾患です。
何らかの異物を飲みこんだ直後、だいたい数秒から数分以内で、流涎(ヨダレ)や苦悶を伴う嘔気がみられます。重度なものでは気道圧迫による呼吸困難を起こすこともあり、中には呼吸不全やショックを生じて生命の危機につながる問題を引き起こしかねないものもあります。
目立った症状がみられる頚部食道と比べると胸部食道での異物では症状がむしろ弱いことも多く、食道閉塞が見逃されやすいこともあるため注意が必要です。
>>>食道閉塞の診断は?
飼い主さんからの、異物を丸飲みしたという申告、診察室での落ち着かない動作や嘔気、流涎(よだれ)などの症状が見られることが強い裏付けとなります。
最初に、胸部、腹部、頸部のレントゲン写真によって探索的に検査をいたします。これらの単純レントゲン撮影にはっきりと異物が確認できる場合には診断となりますが、判断が難しい場合にはバリウムなどの造影剤を用いたレントゲン検査を再度行います。
下が造影検査によって明らかになった胸部食道の異物の例です。上2枚の写真はリンゴ、下2枚は牛皮ガムが異物となっています。犬のおやつ類などは硬く、見た目に明らかな異物であっても撮影条件によっては意外にレントゲン写真に写りにくいため、診断する上で難しさを生じます。
>>>食道閉塞の治療は?
レントゲン検査などで明らかになった異物に対して、できるだけ速やかに内視鏡検査を実施いたします。内視鏡(左下写真)を用いて異物がどのように食道を閉塞をしているのか、その素材や形を評価して最適な除去方法を判断します。
内視鏡検査の結果、異物が消化可能なもので食道内を移動できるのであれば、内視鏡を用いて速やかに胃内に落とすことが基本的な対処法です。頚部食道の上流にある異物や「胃で消化できないもの」、胸部食道に損傷を与える恐れのあるものであれば、直接食道を切開して摘出したり、内視鏡下で様々な異物摘出鉗子(右下写真)などを用いてそのまま口から取り出することもあります。
胃に落とした食道の異物はそれが胃で消化されるものであれば経過観察をしますが、そのまま胃内に留まってしまったり、後に腸閉塞の危険を起こす恐れがある場合には、胃切開を行って摘出することもあります。
飲みこんだ異物が大きい場合には、直ちに上流の頸部食道でつまってしまうことがあります。こういった場合には激しい苦悶をともなう嘔気と呼吸困難などで緊急化しますから、直ちに食道切開を行って摘出する必要があるかもしれません。
食道内異物はつまった場所とその大きさ、異物の食道内での移動しやすさによって処置内容が変わりますが、そのすべてが緊急性の高い疾患として、場合によっては数分を争う処置が必要な救急疾患であるというのが胃腸などの消化管内異物とは異なる点です。
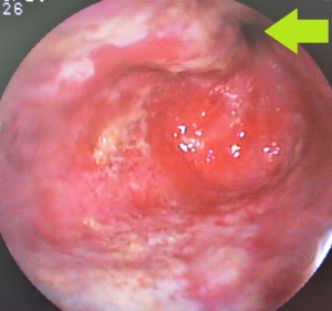
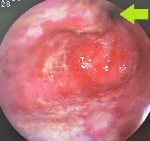
さらに食道は異物による内側からの圧迫に弱く、またその修復能力も高くありません。下の写真は異物を摘出した後のものですが、黄色矢印の先が凹んで周囲の粘膜から出血しています、その中央部は異物に圧迫されて潰瘍を作っています。また、緑矢印の先の赤黒い部分は粘膜面にうっ血が生じて、食道粘膜に広くダメージを起こしているのが分かります。
食道の損傷は食道炎を引き起こし、その結果、食道狭窄(きょうさく)や拡張、逆流性食道炎、嚥下困難などで、診断、治療の遅れは機能的ものも含めて深刻な後遺症を残す可能性が高まります。
特に胸部食道では発見が遅れたために、食道穿孔(食道に穴が開いてしまうこと)が起きた場合には肺や心臓などの重要臓器を容れている胸の中で激しい縦隔洞炎を生じ、その治療と合併症には死と隣り合わせのリスクを背う可能性さえ生じます。
下の2枚の写真は胸部食道のほぼ同じ場所を撮影した内視鏡画像です。左写真が正常な食道、右写真が重度の慢性食道炎の結果生じた食道狭窄の内視鏡写真です。左の正常と比べると食道の粘膜に激しい変化を生じているのが確認できます。
>>>食道閉塞の予防は?
この問題はトイ種をはじめとする小型犬に頻発いたします。小型犬には原因となりやすいおやつ類を与えないというのが最も安全なことですが、やむを得ず与える場合には小さく切って与えたり、その素材をよく選ぶといった配慮が必要です。食道閉塞を起こしやすい「おやつ」に特徴的な素材や加工方法は下に列挙したような特徴があるはずです。
〇唾液などを吸収して「膨張」して流れにくくなり食道を閉塞しやすい
〇同様に「表面がベタベタ」になって付着して、食道内での移動を妨げる
〇素材が角張っていたり突起物がある等、食道内での移動を妨げる
〇骨そのもののように、食道を損傷したり、鋭利で引っかかりやすい
〇慌てて丸飲みしやすい大きさ、形状や極端な嗜好性をもつ
———————————————-
文責:あいむ動物病院西船橋 病院長 井田 龍








