>>>犬の胃ポリープとは?
胃ポリープとは胃粘膜から発生する粘膜組織の過形成病変のことで、単一から多発する病変がみられます。胃ポリープのかたちは正常な粘膜面から「境界不明瞭に盛り上がっているもの」、「腫瘤状に隆起しているもの」、「キノコのように有茎性につながっているもの」、及びそれらの中間のかたちなど様々です。(右下写真は犬の胃ポリープの一例です。)
左下図はこれから内視鏡治療を受ける方へ「日経メディカル」から引用しています。
犬の胃に発生するポリープはほとんどが良性で、広い意味で良性腫瘍の分類を受けるものです。しかし、ポリープが大きい場合や胃運動や胃排泄機能に関わる幽門付近などに発生したものは嘔吐や食欲減退、消化管運動による不快感などにより食事や飲水量の減少を起こして、栄養不良から衰弱などの可能性を孕みます。
犬での胃腫瘍は全腫瘍の1%以下という低い確率でしか起こりません。ご存知の通り、人間では「胃癌」の発生が多く、注意すべき胃の悪性腫瘍としてその悪名を馳せていますが、犬では悪性腫瘍としての腺癌を含む「胃がん」の発生もそもそも非常に少ないものです。
もちろん、胃ポリープもあまり多くは遭遇しませんが、そのほとんどは良性であり、将来的に悪性腫瘍に変化するという報告はおりません。
>>>犬の胃ポリープの症状は?
胃ポリープは多発していない小さな病変であったり、胃運動や胃の排泄機能に影響を与えない程度の大きさや場所に発生したものであればほとんど症状を示しません。胃への影響が出始めてくるに従って散発的な嘔吐や食欲不振、「食後の不快感」などがみられるようになります。
胃ポリープは胃の出口の幽門周囲、幽門前庭部に発生しやすいといれています。この部位に発生した胃ポリープは幽門の運動や機能に悪影響を与えたり、ポリープが幽門を閉塞したり、幽門狭窄(幽門が狭くなること)を起こして、消化された食物が胃から十二指腸へ流れることを妨害します。
下図が胃の構造を簡略化したものですのでご参考になさって下さい。赤丸内が胃ポリープができやすい部位です。(下図は下記リンク、オリンパス株式会社、「お腹の健康ドットコム」内の図を一部改変したものです。)
ー>お腹の健康ドットコム「ポリペクトミー)」
>>>犬の胃ポリープの診断は?
嘔吐に対する薬物治療に対して反応しにくい、長期間に及ぶ嘔吐をはじめとする消化器の症状に対しては、まず消化器以外を原因とする病気をひとつひとつ血液検査などで除外しながら消化器病としての診断を絞り込んでいきます。
消化器系疾患と考えられるようであれば、レントゲン検査やそれに続く消化管造影検査や超音波検査などの画像診断を経てさらに発生部位や原因の絞り込みを行ったうえで、病変が消化管内にあることが予想される場合、もしくはその他検査ではどうしても原因が突き止められない場合には内視鏡検査や外科的なアプローチによる確定診断に進むのが一般的な考えです。
こういったプロセスで発見された胃腸内の異常は最終的には内視鏡検査や外科手術で採取された組織を病理検査によって確定診断を行う必要があります。
胃ポリープをはじめとする胃内の腫瘍や胃炎、胃潰瘍、異物などはこういった診断の手順を踏んでようやく診断することができます。胃内の何らかの異常に対しては最終診断は内視鏡検査が必須となりますが、それ以前に行われる胃の超音波検査や消化管バリウム造影検査が補助的な検査として重要です。
>>>犬の胃ポリープの治療は?
下の3枚の写真はいずれも内視鏡検査と内視鏡的ポリペクトミーによる胃ポリープの切除を行った際のものです。一般的に胃腸の粘膜面にできた腫瘍、特にポリープ状のキノコのような有茎腫瘤は人間の医療現場ではこういった内視鏡的ポリープ切除切除術(ポリペクトミー)を実施するのが標準的です。
ポリペクトミーとは消化管内にできる腫瘍を含めた隆起性病変を切除する方法のひとつです。高周波スネアと呼ばれる金属ワイヤーを「投げ縄のように腫瘤の根元にかけて焼き切る」方法と、ワイヤーで締め付けて腫瘤の根本を壊死させて組織を回収せずに時間をかけて脱落させる方法があります。図はこれから内視鏡治療を受ける方へ「日経メディカル」から引用いたしました。
高周波スネアで切除、回収したポリープは病理検査を行うことが可能です。ポリペクトミーでは通常の生検よりも大きな組織が回収できるため、より正確な病理検査が可能です。
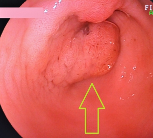
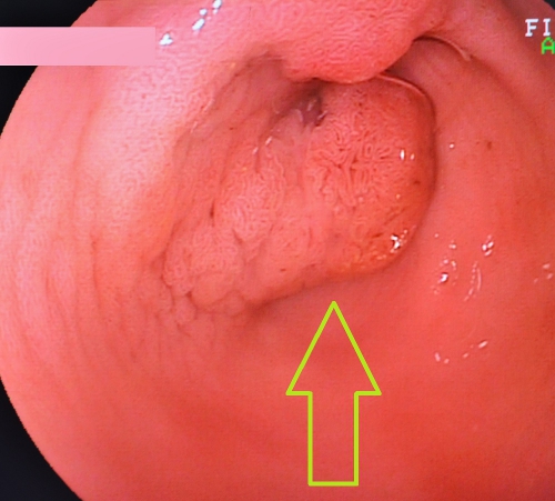
下の写真が胃の幽門部手前(口側)に発生した胃ポリープです。時計の8時の位置に胃粘膜との付着部位があり、2時方向に向かってキノコ状のポリープが伸びています。(ポリープ本体は黄緑色矢印で示しています。)
次が、胃ポリープの根元に高周波スネアをかけ終わった時点の写真です。金属ワイヤは矢印の先にあります。
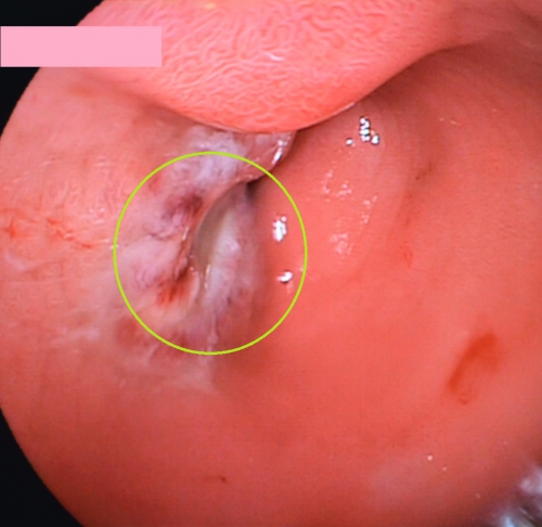
さらにスネアを締め付けて高周波電流で止血、切除します。緑丸の中が胃ポリープのあった病変部位の写真です。粘膜面ごときれいに切除されています。ポリープによって閉塞されていた胃の出口、幽門部が中央の「くぼみ」の中に見えるようになりました。
右下写真は切除された胃ポリープです。
胃ポリープはこのように内視鏡的ポリープ切除術で治療を行うことができます。さらに犬ではそのほとんどが良性の線維性ポリープで、ポリペクトミーによって治癒が期待されます。
上記の写真の例では、2cmに満たないポリープが胃の出口、幽門部を閉塞して、胃からの食事の流れを妨げて、「薬によって止まらないしつこい嘔吐」を生じておりました。
消化管内に発生する腫瘍は仮にそれが良性腫瘍であっても、それによる消化管閉塞という体への悪影響は「生活の質」の低下に留まらず、生命に関わるような状況が引き起される可能性があります。
腫瘤の発生部位やその大きさ、病変の達している深さによって手術をすべきか否かはケースバイケースで考慮する必要がありますが、こういった粘膜面にある良性腫瘍では、人の医療と同じように内視鏡的ポリペクトミーは最大限のメリットを発揮する治療法といえるでしょう。
———————————————-
文責:あいむ動物病院西船橋 病院長 井田 龍




![ind_pic01[1].jpg](/wp-content/uploads/2023/06/ind_pic01%5B1%5D__midium.jpg)


