>自己免疫疾患、免疫介在性疾患とは?
体は様々な防御機能により守られていますが、そのひとつに「免疫反応」があります。
免疫の働きとは「自分」と「自分ではないもの」を見分け、体の中に入ってきたさまざまな異物であるとか、細菌やウィルス等の病原体、体内で暴走してしまった腫瘍細胞を「自分でないもの」と認識し、それを異物を識別、無力化する抗体やリンパ球、マクロファージ等の白血球をはじめとする免疫を担うシステムが排除するというのがその大まかなしくみです。
免疫反応は、常に体外からの異物の侵入を監視、排除して体を守っています。このしくみの調節が何らかの原因で狂ってしまい、「自分」とそうでないものの見分けができなくなった結果、何の問題もない組織や臓器に免疫反応が向いてしまって起こる病気を自己免疫疾患といいます。
自己免疫疾患では、いったん免疫反応の標的となってしまった組織には自己抗体や免疫細胞によってそれを排除する強い仕組みが続くために重大な臓器、組織障害を生じます。病気の原因が自身の免疫系であるために回避するのは困難であり、こういった自己免疫疾患の多くは難治性となります。
免疫異常が引き起こす自己免疫性疾患にはさまざまなものがあり、人間では関節リウマチを含む膠原病が有名ですが、動物医療では自己免疫性血液疾患の免疫介在性溶血生貧血(IMHA)、免疫介在性血小板減少症(IMT)をはじめとして、皮膚に生じる天疱瘡や全身性広汎性狼瘡、関節での多発性関節炎などがよく知られています。
>免疫介在性血液疾患とは?
免疫介在性血液疾患とは、異常な免疫反応の結果、赤血球、血小板、場合によって白血球が免疫を担当する細胞によって本来の寿命より早く壊されてしまい、急性から慢性の経過を経て血球減少を引き起こす重大な免疫疾患の一つです。動物医療では、免疫介在性溶血性貧血(以下、IMHA)や免疫介在性血小板減少症(以下、IMT)が代表的です。
血球や血小板は骨髄で常に作られており、その寿命による減少分を補う生産が常に行われています。血球、血小板の破壊が緩やかであれば症状はあまり出ませんが、短期間に大量の破壊が生じて、血球、血小板の生産が追い付かない場合には貧血や血小板減少症を生じます。いずれも劇症時には死亡率の高い病気です。
IMHAは犬では特発性(原因の分からない)が多く、コッカー・スパニエルやプードルでの発生が多く、中年齢でのメスで発生率が高い傾向があります。急性のIMHAでは溶血のタイプや強さによりますが、死亡率は極めて高く、30~80%にも達するため、通常は救急疾患としての入院治療の必要があります。慢性経過している例では通院治療ができることもあります。
IMHAとIMTはしばしば同時に発症しますが、これをエバンス症候群と呼び、さらに死亡率が高く、重大な免疫介在生血液疾患として扱います。
>免疫介在性溶血性貧血(IMHA)の症状は?
貧血の結果として「元気がない」・「疲れやすい」・「よく眠る」・「寒がる」・「食欲がない」、などあまり特徴的な症状はありません。
貧血が進行すると歯茎や舌は口の中の粘膜が白くなったり、溶血の結果として赤色~褐色の尿がみられることもあります。さらに、溶血が時間経過とともに黄疸となり口の中の粘膜や結膜が「黄色く」見えることもあります。
>免疫介在性溶血性貧血(IMHA)の診断は?
臨床診断の上で血漿の溶血や血色素尿などから溶血性貧血を疑う貧血であることがIMHAの診断の前提となります。
血液検査で直接クームス試験が陽性であったり、顕微鏡検査での球状赤血球症、赤血球の自己凝集がみられるなど、複数の状況証拠を集めて診断を行います。この際にはIMHA以外の溶血性貧血を生じる可能性のあるその他の病気がないかどうかを除外診断しながら診断を絞り込んでいくことが重要です。
こういった除外診断の際には血液検査やレントゲン検査、超音波検査などの画像検査などの全身的な検査が必要となります。
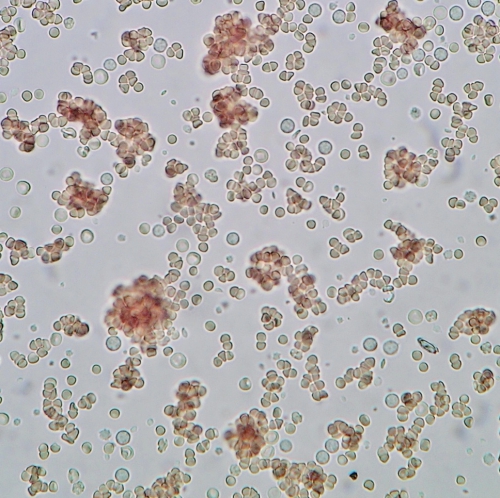
下の写真はIMHAでの赤血球の自己凝集を示す顕微鏡写真です。赤血球は本来ばらけて血液中に浮いているはずですが、写真では薄紅色に見える赤血球がお互いにくっついて凝集しています。これは赤血球表面に付着した自己抗体の作用によるものです。
急性のIMHAでは血栓塞栓症や「播種性(はしゅせい)血管内凝固(DIC)」(全身の毛細血管に細かい血栓ができること)が死因となることが多いため、血小板をはじめとした血液凝固・線溶系の検査を行う必要があります。この検査にはPT(プロトロンビン時間)、APTT(活性化部分トロンボプラスチン時間)、フィブリノーゲン, FDP、Dダイマーなどの検査項目を含みます。
>免疫介在性溶血性貧血(IMHA)の治療は?
治療は早期の寛解(かんかい、病気が見かけ上消失した状態)を目指す免疫抑制療法と、悪化してしまった全身状態を維持するための支持療法を並行して実施します。IMHAは非常に致死率の高い緊急疾患であることが多く、いずれの治療も積極的かつ迅速な対応が必要となります。治療は、免疫抑制療法と支持療法が中心となります。
IMHAによる貧血が生命に影響を与えるほど重度の場合には、溶血で失われた赤血球を補うために、支持療法として全血輸血が必要になる可能性があります。しかしながら、輸血に際しては有害な輸血反応が起こる可能性があるため、輸血をしないと生命の危険があるという場合にのみ実施いたします。
また、犬のIMHAでは播種性血管内凝固(DIC)を含む血栓塞栓症の併発が多く、IMHAの死亡率の上昇を引き起こすため、低分子ヘパリンやクロピドグレルのような薬剤を用いた抗血栓療法を必ず行うようにします。
寛解導入のためには副腎皮質ステロイド製剤のプレドニゾロンを中心とした免疫抑制療法が柱となりますが、重度のIMHAの場合や免疫抑制効果を増強してステロイドの副作用を減らすために、プレドニゾロンの作用の仕組みの異なる免疫抑制剤のシクロスポリンやアザチオプリン、ミコフェノール酸モフェチルなどを併用することもあります。
プレドニゾロンはIMHAに対しては48~72時間以内に反応がみられます。おおよそこの期間で赤血球の増加がみられない場合や、IMHAの重症例ではヒト免疫グロブリン製剤を投与して、免疫をブロックして溶血による赤血球破壊の停止を試みます。ガンマグロブリン製剤がIMHAによる血球破壊に対して一時的な防壁を果たしている間にプレドニゾロンや免疫抑制剤が効果発揮するのを待つことになります。
ガンマグロブリン製剤は免疫グロブリン(大量の抗体)を投与する方法です。実はこの治療法には作用のしくみの不明点が多いのですが、血小板を破壊する免疫細胞のレセプター(鍵穴)に抗体が結合することにより、赤血球への結合を妨害することで免疫細胞からの攻撃を回避するといわれています。
赤血球数が増加して貧血がなくなり安定に到達したら、その後3週間前後にはじめてプレドニゾロンから免疫抑制剤をゆっくりと減らしていきますが免疫抑制療法そのものは必ず維持します。ステロイド量を減らしたら減量前と同程度の期間はその量を維持し、特に重症例では慎重に貧血のチェックとプレドニゾロンの減量を繰り返します。
IMHAの症状の消失は治癒ではなくあくまで寛解であることに注意が必要であり、急な薬剤の中止は再発の引き金となることがあります。また、薬を減らすと再発することも多く、プレドニゾロンをはじめとする免疫抑制療法は年単位に至る長期間の治療が必要なこともあります。
———————————————-
文責:あいむ動物病院西船橋 獣医師 西村 瞳



