>>>犬の重症筋無力症とは?
筋肉はどういうしくみで動くのでしょうか?もちろん普段そんなことを意識することもなく筋肉は頭で考えた通り、場合によっては考えることもなく反射的に動きます。これは脳につながるたくさんの神経線維と様々な筋肉を接続している神経のネットワークの連携、調節機能の結果です。
脳の神経細胞によって発した命令は神経線維を通じて流れる電気刺激となり脳脊髄神経などの中枢神経から下流の末梢神経、さらに体の様々な組織へと伝えられていきます。
このようなしくみは脳に接続され、電気を伝える神経は「電源コード」、筋肉などの組織を「電化製品」に例えると分かりやすいかと思います。脳からの指令を伝えるたくさんの神経線維は脳に束ねられて「タコ足配線」のように接続している「電源コード」、その先にはそれぞれ様々な機能を持つ「電化製品」が接続されている、そんなイメージです。
つながっているのが筋肉の場合、電源コード(神経線維)の終点を神経筋接合部といい、筋肉側には受容体といわれる「化学的スイッチ」がついています。このスイッチが入ることで、筋組織の緊張性が上がり、筋肉はその「運動性」を発揮します。こうした化学的なスイッチには様々な種類に加えて「促進」と「抑制」の機能を持つものがあり、これらの絶妙な配線と調節により、体の様々な活動や機能調節がなされています。
ところで、このスイッチはなぜ「化学的」なのでしょうか。神経線維の末端に到達した電気刺激は、そこに蓄えられている神経伝達物質という化学物質の放出というかたちにいったん変換されます。つまりこうした物質が伝令役となり、その先にある神経線維や筋組織などターゲットの受容体に結合して神経の電気信号を「間接的」に伝達するからです。
筋肉が持つ、このスイッチの正式な名称をアセチルコリン受容体といい、神経末端から放出されるアセチルコリンという物質を介して筋肉組織に伝達されます。
神経伝達物質にはアセチルコリンをはじめ、さまざまな種類がありますが、それが結合する受容体とは通常は一対の「鍵」と、「鍵穴」の関係を持ちます。つまり神経伝達物質がそのターゲットの受容体に嵌まることで、スイッチ・オンの状態になり神経線維や受容体に対して電気刺激のバトンが伝えられます。
重症筋無力症は神経筋接合部の「化学的スイッチ」の働きが「鍵」であるアセチルコリンの不足もしくは「鍵穴」であるアセチルコリン受容体の不足で鈍くなり、神経が電気刺激を増やしても、それが筋組織に伝わりにくくなって筋肉の運動性が低下してしまって生じる病気です。
———————————————-
重症筋無力症は遺伝的に「鍵」であるアセチルコリンがもともとうまくつくれず、「鍵」の数が少ない先天性のもの、「鍵穴」であるアセチルコリン受容体が壊されることで生じる後天性のものがあります。多くを占める後天性の重症筋無力症は免疫介在性や腫瘍に伴って、アセチルコリン受容体に対して自己抗体が作られる免疫介在性疾患として発症し、アセチルコリン受容体が破壊されてその数が減少してしまうことを原因とします。
その発症年齢には若齢(1-4歳)と高齢(9-13歳)に発症しやすいというパターンを持ち、ラブラドール・レトリーバーやジャーマンシェパードなどに生じやすいといわれています。
人間では先天性の重症筋無力症には様々なタイプが明らかになっていますが、犬(猫でも見られます)で先天性のものは稀とされています。
当ページの模式図はノバルティスファーマ株式会社のサイトより転載しております。犬での重症筋無力症の基本的なメカニズムは人間のものと同様です。下記のサイトに人間の重症筋無力症の分かりやすい説明がありますのでご参考になさって下さい。
>>>犬の重症筋無力症の症状は?
運動に伴って徐々にみられる顔面や後ろ足をはじめとする部分的または全身的な筋力低下がみられます。症状のパターンは「運動後に脱力がみられ、休息すると一時的に回復することを繰り返す」という易疲労性の症状を示します。
また、四肢不全麻痺、嚥下障害(うまく飲みこめない)、流涎(ヨダレ)や吐出(食べたものをすぐ吐き出す)を起こしたり、その症状は多岐にわたります。
重症筋無力症は部分的な発症を示すもの、慢性ないし、急性経過をとる全身性のものなど、いくつかのタイプがみられます。部分的にみられる重症筋無力症は「顔面の異常」、喉や食道の「飲み込みの機能」に関する症状が代表的で一般的に四肢の筋力低下は見られません。
全身性のタイプは急性経過をとるものでは突然の歩行障害から重度の四肢麻痺、呼吸困難に数日程度の短期間で進行する劇症型ものや、時間をかけて全身の虚弱が進行する慢性経過をとるタイプもあります。
全身性のものは最も多くみられるタイプで、主な症状は易疲労性であり、歩き出すと数分で後ろ足から徐々に脱力がみられます。腰が落として背中が丸まり、膝が広がり、「ガニ股歩行」となりすぐに座り込んでしまうイメージです。この際にウサギのような歩き方となることもあります。
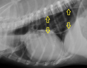
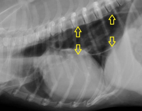
重症筋無力症の多くは巨大食道症を併発しており、様々なレベルの嚥下(えんげ)障害を生じやすいため、食事や水を誤って呼吸器に吸引してしまう危険性が高く、誤飲性肺炎をしばしば生じます。こうした合併症が呼吸障害による低酸素症や重度の細菌感染を引き起こして重症筋無力症の死亡リスクを著しく上昇させます。
下のレントゲン写真が巨大食道症の一例で、黄色矢印の先に飲み込んだ空気によって拡張した食道壁を示す特徴的な白いラインが見えます。右下が正常の胸部レントゲン写真です。
>>>犬の重症筋無力症の診断は?
重症筋無力症を疑う症状は、まず易疲労性を特徴とする何らかの「脱力疾患」あることです。典型的と思われる症状がみられた場合であっても症状のみでは可能性のひとつであるため、身体検査やそれに続く神経学的検査を実施して疑い例のふるい分けをできるだけ正確にを行います。
血液検査を行ってアセチルコリン受容体に対する抗体の測定をすることで重症筋無力症をかなり正確に診断することができます。しかしながら、アセチルコリン受容体抗体検査には時間と費用がかかるため、重症筋無力症の疑い例に対してはアセチルコリン受容体抗体の測定に先立って「テンシロンテスト」が実施されます。
テンシロンテストはエドロフォニウムという、短い作用時間を持つ抗コリンエステラーゼ剤と呼ばれる薬剤を使用する簡便かつ信頼性の高い方法で、エドロフォニウムの投与によって筋肉の緊張性が回復するかどうかを判断する検査です。
投与後数分から、正常に歩いたり、筋力の回復が認められる場合にはテンシロンテスト陽性と判断し、重症筋無力症を仮診断することが可能です。
>>>犬の重症筋無力症の治療は?
長時間作用型の抗コリンエステラーゼ剤のピリドスチグミンという薬剤を用います。この薬剤は診断の際のテンシロンテストで用いる超短時間作用型のものと異なり、長い持続時間を持つ薬剤です。
重症筋無力症は自己免疫が関与する免疫介在性疾患ではありますが、免疫抑制剤を使用せずに抗コリンエステラーゼ剤によって多くの場合は良好にコントロールされ、多くは自然寛解(かんかい、症状が消失すること)が期待できます。
ピリドストグミン単独での治療が難しい場合、副腎皮質ステロイドホルモン剤をはじめとするアザチオプリン、シクロスポリンや、ミコフェノール酸モフェチルなどの免疫抑制薬の併用を行うこともあります。特に副腎皮質ステロイド剤には作用の原因不明な免疫抑制量に満たない低用量の使用による症状の改善がみられることがあります。
重症筋無力症の多くが巨大食道症や咽喉頭の機能異常による嚥下障害(飲み込みの問題)を持っていることが多く、合併症として誤飲性肺炎を併発していることがしばしばあります。こういった場合には免疫抑制により原因となっている細菌感染をさらに悪化させ、それによる死亡率を上昇させるリスクがあるため、ステロイド剤をはじめとする免疫抑制剤の使用には細心の注意が必要です。
———————————————-
文責:あいむ動物病院西船橋 病院長 井田 龍



![02-01[1].gif](/wp-content/uploads/2023/06/02-01%5B1%5D.gif)
![02-02[1].gif](/wp-content/uploads/2023/06/02-02%5B1%5D.gif)
