>>>猫の腎結石(尿管結石)とは?
尿路結石のひとつ、尿路の一番上流に位置する腎臓の腎盂内でつくられる尿路結石のことです。尿には体に余分なカルシウム、リン、マグネシウム等の塩類などのほか、体に不要な代謝産物などの老廃物が溶け込んでおり、尿はそれを運搬して排泄させる役割を持っています。
この尿中に溶け込んだ様々な物質がなんらかの理由で、水に溶けない状態になって「尿路に溜まった石のようなもの」が尿路結石です。猫でみられる腎結石や尿管結石のほとんどはシュウ酸カルシウムから成る結石です。
———————————————-
尿路結石はその問題を起こす部位に応じて、腎結石、尿管結石、膀胱結石、尿道結石と呼び方が変化します。尿路結石が引き起こす最大の問題は尿路閉塞です。これは上流でつくられた結石が下流の狭くなった尿路に閉塞を生じるもので、腎結石は尿管結石となり尿管閉塞を生じます。また、膀胱結石は尿道結石となり尿道閉塞を生じるといった具合です。
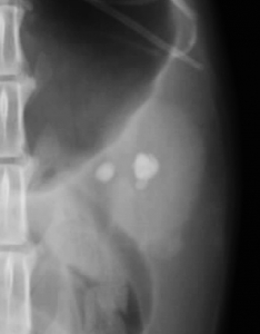
猫でみられた腎結石のレントゲン写真を左下図に示します。その中で「白く見える3つの影」が腎臓(腎盂内)にある腎結石です。イメージしやすいように結石と腎臓の位置関係を右の模式図に重ねてみました。結石は実際には腎臓の腎盂内にあるので外からは見えません。一番左の結石は尿管に落ちかかっています。
>>>腎結石(尿管結石)の症状とは?
腎結石そのものにはあまり症状を伴わないのが一般的です。原因のよく分からない血尿を繰り返すなど、尿の異常が腎結石を診断するきっかけになることもありますが、無症状で健康診断や腎臓病の検査の過程で偶然発見されることが多くみられます。
腎結石のなかには尿管に落ち込んで尿管結石となり、様々なパターンで尿管閉塞を生じて急性腎不全をはじめとする命に関わるレベルの緊急疾患を引き起こすことがあります。
尿管結石は通常激しい腹部痛を起こすものですが、猫ではこういった痛みの把握が難しく、元気食欲がないだけであまり症状がないように見えることも多いものです。腎結石は両側に同時にできることも多く、それらが同時期に尿管閉塞を生じる可能性が2割程度あり、この場合には腎不全による尿毒症などが発症いたします。
>>>腎結石(尿管結石)の診断は?
レントゲン検査によって結石の大きさや形、個数、おおよその位置関係を確認することができます。さらに超音波検査によって、結石の正確な位置や周辺の腎盂や尿管内での尿路の拡張や閉塞の有無を確認できます。
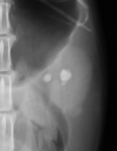
下の写真は両側の腎盂内に比較的大きな腎結石が発見された猫の腹部レントゲン写真です。上写真が縦方向下が横方向のものです。
超音波検査で尿管拡張がみられたり、閉塞が疑われる場合には、静脈性尿路造影が行われることがあります。この検査は静脈から造影剤を注射して、腎臓に集まって、尿管へと流れる造影剤の流れの有無やその変化を確認するレントゲン検査です。
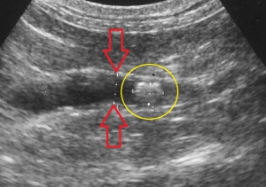
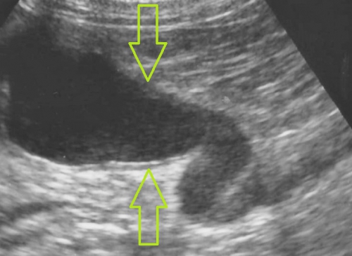
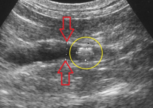
レントゲン検査により腎臓や尿管に結石が見つかった場合、さらに超音波検査によって結石の正確な位置関係とそれが周囲に及ぼす影響を評価します。下の2枚の写真は超音波検査の画像です。尿は左から右写真方向に「黒い管」として見える腎盂~尿管の中を流れます。
右下写真の黄色い円の中に見える「白いカタマリ」が尿管結石で、おおよそ3ミリくらいの直径があり、尿管を閉塞しています。
腎臓でつくられた尿がつまっているために尿管は重度に拡張しており、結石のすぐ上流で直径が4mm(赤矢印)、さらに腎臓の出口付近では1cm以上(緑矢印)にもなっており、腎臓内が拡張した水腎症になってしまっています。
通常では猫の尿管は極めて細いため超音波検査ではほぼ見ることができませんので閉塞の程度をイメージできるのではと思います。
>>>腎結石(尿管結石)の治療は?
小さな結石に対しては定期的な尿検査や超音波検査などで経過を観察しますが、血尿や尿路感染症や腎炎、腎機能障害を疑う所見があればそれに応じた治療を行います。
腎結石は大きくなると、腎臓を内側から圧迫して腎機能に悪影響を与えますので、腎切開によって摘出が必要なこともありますが、猫ではそのような大きな結石の発生はあまり見かけません。猫で注意すべき腎結石が引き起こす問題の多くは、数ミリ以上の大きさになった腎結石が尿管に移動して生じる、急性から慢性経過をとる様々なパターンの尿管閉塞です。
下のレントゲン像の黄色の縁で囲んだ目立たない結石は画像でこそ目立ちませんが、急性の尿管閉塞を生じている尿管結石です。尿管閉塞というのはお腹の中で腎臓から膀胱をつなぐ細い尿管で生じます。尿路閉塞として一般的な膀胱結石による尿道閉塞とその仕組みは同じです。
尿道結石は尿道という体の外に出る管での問題ですから、体外から結石除去を試みることができます。ところが尿管閉塞はお腹の中ですから手術以外の方法で結石に到達することができません。内科的に結石を尿管から膀胱へ落とすためには利尿薬などを組み合わせた点滴療法で自然排泄を図りますが、単独では決して確実な方法ではありません。
尿管結石をはじめとする尿管閉塞の手術の新たな手段として、特に猫において手術の難しい尿管とは別に腎臓と膀胱をバイパスする器具がアメリカで発売されています。尿管とは別ルートを確保できるため手術にまつわる様々な問題を回避できる可能性があり、困難を伴う尿管閉塞の治療を変えてくれるかもしれません。(下写真)
>>>腎結石(尿管結石)の予防は?
膀胱や尿道などの下部尿路疾患に生じるシュウ酸カルシウム結石対策のための療法食に切り替えるのはあまり効果がないとされています。利尿作用を期待して利尿薬や漢方の猪苓湯(ちょれいとう)などを使用して尿量を増加させて水分摂取を促す場合もありますが、サプリメントなども含めて腎結石には確実な薬物による予防方法はありません。
猫の腎結石(尿管結石)に関して、とても詳細に書かれたページがありますのでご興味がおありの方はさらに下記リンクもお読みになることをおすすめいたします。
———————————————-
文責:あいむ動物病院西船橋 病院長 井田 龍







![subsystem2_1[1].jpg](/wp-content/uploads/2023/06/subsystem2_1%5B1%5D__midium.jpg)