>>>猫のワクチン関連肉腫とは?
「ワクチン関連肉腫」とは、肩甲骨の間、頸背部(けいはいぶ)、体幹部など猫の混合ワクチンをはじめとする、さまざまな薬剤の投与されやすい部位に発生する「非上皮性悪性腫瘍」の総称です。猫腫を問わず発生しますが、メスに多いという報告が一部にあるようです。
この腫瘍は当初は猫に使用するワクチンとの因果関係が強く疑われていたためこのような呼称となりましたが、その後抗生物質、持続型ステロイド製剤などの薬剤によっても同様の肉腫が発生することが明らかとなりました。さらに薬剤とは言えない皮下輸液さえも肉腫の原因として考えられるようになった結果、現在ではワクチン接種部位肉腫ないしは注射部位肉腫という用語に変化しつつあります。
「ワクチン関連肉腫(注射部位肉腫)」には悪性線維性組織球腫、筋線維芽細胞線維肉腫、線維肉腫、粘液肉腫、平滑筋肉腫、未分化肉腫、横紋筋肉腫、骨外性骨肉腫、軟骨肉腫、組織球肉腫など多岐にわたる肉腫が生じる可能性があります。また、これらのうち複数の肉腫が同時に関与する可能性もあります。
———————————————-
このカテゴリーの肉腫が問題化したのはアメリカでの調査による猫白血病ウィルスワクチンや狂犬病ワクチンなどのアジュバンド(ワクチンの作用を強める物質)を含むワクチンとの関連が当初は疫学的に証明されたため、これらのワクチンがワクチン関連肉腫の原因としてやり玉に挙げられました。
ところがその後、原因とされたアジュバンドを含まないワクチンや通常の薬剤での同様な肉腫の発生が報告されるに至っています。現在までに確認された注射部位肉腫を起こすワクチンは、猫3種混合ワクチン、猫白血病ワクチン、狂犬病ワクチン(日本で使用されている犬の狂犬病不活化ワクチンとは異なります)の3つです。
ワクチン関連肉腫(注射部位肉腫)の発生は他の腫瘍とは若干異なり、おおよそ6~7歳ということですが、発症平均の10歳前後にもピークがみられます。おおよその発生確率は、1-2例/10000頭程度と推測されており、原因物質の接種ないし投与からは4週間~10年とかなり幅がみられます。
>>>猫のワクチン関連肉腫の特徴は?
一般的に皮下注射や筋肉内注射によく用いられる部位に腫瘤がみられ、「ワクチンや何らかの薬物を投与後から1か月以上経過しても大きくなり続けるもの」、「3か月以上にわたり存在するもの」、「大きさが2cmを越えるもの」には注射部位肉腫の可能性を考慮に入れた上での病理検査のための生検の必要があります。
ワクチン関連肉腫(注射部位肉腫)の挙動は極めて悪く、発生した肉腫は周囲の組織に強い浸潤性を持っており、外科手術が遅れるほど転移の可能性が高まります。転移は肺に見られることが多いとされています。
また、大がかりな摘出手術を行っても3か月に満たない期間で約半数が再発するというデータもあり、その外科的摘出には難易度の高い技術が要求される上に外科的治療単独での治療成績や長期生存率はあまりよいものではありません。
注射部位肉腫は皮下組織に発生しやすい一方、それ以外の軟部組織肉腫は真皮での発生が多く、注射部位肉腫と比べてその大きさが小さい傾向があるため、それらを区別することができるようです。
下写真は注射部位肉腫の可能性のある腫瘤の外観写真です。左写真が上から、右側が側面像です。
大きな腫瘤が広範囲でなだらかに正常組織と連続しているために写真では判断しにくいですが、赤線内の硬い腫瘤の周囲は裾野をかたちづくるように正常組織と固着しており境界は不明瞭ではっきりしていません。
この腫瘤は病理検査の結果、未分化肉腫であるという診断が出ています。
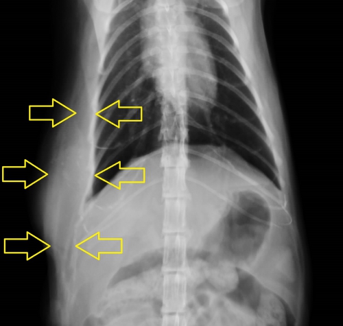
下写真は上記の部位の胸部レントゲン写真です。黄色矢印で挟まれた肉腫の占めるエリアが白く拡大しているのがお分かりかと思いますが、正常部位とはなだらかに連続しており境界がありません。また、左向き矢印で示されるように硬い腫瘤に胸壁が圧迫されて内側に変形しているのが分かります。
>>>猫のワクチン関連肉腫の治療は?
ワクチン関連肉腫(注射部位肉腫)の治療で重要な点は外科手術で腫瘍を取りきるということですが、これは腫瘍の側面と底面を含めた周囲2cm以上のサージカルマージンを確保した外科的摘出が最低限必要という厳しいものです。
獣医外科の専門家にはマージンが5cm必要という意見もありますが、これはつまり生体機能を維持できるギリギリの手術によって、腫瘍を根こそぎにするという意味に近いものです。注射部位肉腫とはそれほど「腫瘍の手が長い」ということに他なりません。
さらにこのような大掛かりな手術であってもこの肉腫を外科手術のみで長期間コントロールすることは難しいのが現実です。手術後には抗がん剤による術後補助的化学療法を実施する必要があり、その治療期間も数か月以上と長くなる傾向があるため、飼い主さんの負担も大きなものとなります。化学療法に用いる抗がん剤はドキソルビシン単独、もしくはシクロフホスファミドとの組み合わせやカルボプラチンの使用が一般的です。
現在のところ、上記のような完全な肉腫の摘出手術と化学療法に放射線療法を組み合わせた治療法が最も長期間のコントロールが可能な方法と考えられています。
———————————————-
文責:あいむ動物病院西船橋 病院長 井田 龍




