>>>変形性関節症(脊椎症)とは?
変形性関節症(DJD: degenerative joint disease, OA: osteoarthritis)とはすべての関節に起こる可能性がある、年単位で進行する関節破壊を生じる病態の総称です。これは変形性関節炎だとか単純に「慢性の関節炎」などといわれていた関節の異常を含みます。変形性関節症のうち脊椎に起きたものを変形性脊椎症と呼び、その他の部位にできる関節症とは区別します。
犬では変形性関節症は高齢犬の2割弱でみられ、特に高齢である大型犬は小型犬の2倍超と特に多くみられます。さらに変形性脊椎症を含めるとその発生率は4割を超え、高齢化に伴い変形性脊椎症の割合が増加していきます。
下の写真は股関節の重度の変形性関節症をしめす骨格モデルです。画面左の赤丸の中が重度に変形した関節構造をモデル化したものです。真ん中が正常な股関節で右がその部位の重度の変形関節症(拡大)です。
>>>犬の変形性関節症(脊椎症)の原因は?
関節を形づくる骨の末端では、硬い骨同士が直接こすれたり衝突しないよう、クッションの役目を果たす関節軟骨で覆われています。関節は滑膜に内張りされており、そこから分泌される滑液と呼ばれる粘稠性の液体が関節軟骨への栄養供給や関節面を滑らかに保つ役割を担っています。
変形性関節症とは、関節のこのような一連のしくみの異常によって、正常な関節機能が破壊されて、痛みや歩行障害を生じる疾患のことをいいます。つまり、DJD(OA)とは軟骨の損傷と軟骨を作り出す細胞の死を特徴とする進行性、消耗性の変化の結果なのです。
変形性関節症は、関節面の摩耗や関節にかかる荷重バランスの変化によって軟骨にダメージが蓄積することで発生します。軟骨が破壊されると周囲の滑膜の炎症が誘導され、滑液中へのヒアルロン酸分泌が減ることでさらに軟骨代謝が悪くなり、軟骨の変性が進む悪循環により、関節構造は本来のクッションとしての役割を充分に次第に発揮できなくなっていきます。
原因としては加齢による関節軟骨の老化がまずあげられます。前十字靭帯断裂、膝蓋骨脱臼、股関節形成不全等の整形外科疾患や外傷、場合によっては栄養的な問題も要因となり得ます。また肥満による関節への負担増は疾患の発症と悪化のリスクを高めます。
>>>犬の変形性関節症(脊椎症)の症状は?
変形性関節症の症状は多様ですが、初期症状の多くは潜在的であり、また老化による活動性の低下との区別が難しく、症状に気づかないケースも多々あります。病状が進行するにつれて散歩や運動を嫌がったり、肢を引きずる等の歩行異常がみられたりと、生活上の変化として現れ、さらに痛みを伴うようになると、触られることを嫌がったり、攻撃的な反応がみられる場合もあります。
変形性関節症は全身のいずれの関節にも起こり得ますが、荷重のかかりやすい肘関節、股関節、膝関節等での発症がよくみられます。変形性関節症を起こしている犬の約半数が何らかの症状を示します。
一方、変形性脊椎症では1割弱しか症状を出さないという特徴がありますが、変形性腰仙椎狭窄症(馬尾症候群:ばびしょうこうぐん)として腰より下の脊椎(腰椎、仙椎)に発生した場合には強い痛みや麻痺、排尿障害などの神経症状につながる可能性もあります。
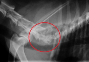
下のレントゲン写真は第4~5腰椎、第5~6腰椎間の変形性脊椎症です。赤矢印の先に隣り合う腰椎の間に形づくられた「椎骨のブリッジ」形成がみられます。こうしたレントゲン像は「無症状にみえる」虫高齢犬でしばしば観察される変化です。
飼い主さんから見て無症状に見えるということと、発生率や深刻度の差が大きいのが変形性関節症(脊椎症)の特徴でもあります。それは問題を生じている場合でも初期にはあまり見た目の変化が少なく、注意して観察しても「年のせい」に感じる程度です。変形性関節症(脊椎症)の犬でよくみられる慢性の痛みのサインの特徴を以下に示します。
〇散歩に行きたがらず、活動的でなくなった
〇走りたがらず、ゆっくりと歩くようになった
〇階段などの昇降を嫌がるようになった
〇飛び乗ったり飛び降りたりできなくなった
〇立ち上がるのに時間がかかるようになった
〇家族やおもちゃと遊ばなくなった
〇尾を下げていることが多くなった
〇脚をかばったり歩行がおかしくなった
〇寝ている時間が長くなった
>>>変形性関節症(脊椎症)の診断は?
変形性関節症の診断は、問診、触診、レントゲン検査などにより行われます。初期には明らかな徴候を示さないことも多いですが、病状の進行に伴い散歩や運動を嫌がったり、歩行の異常といった症状が見られるようになります。レントゲン検査では軟骨の評価が難しく、初期の病変を把握することは困難ですが、重症化するにつれて軟骨付着している骨の部分の硬化や骨棘(こつきょく)形成、炎症性の関節液による関節包の腫れなどの所見が見られるようになります。
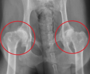
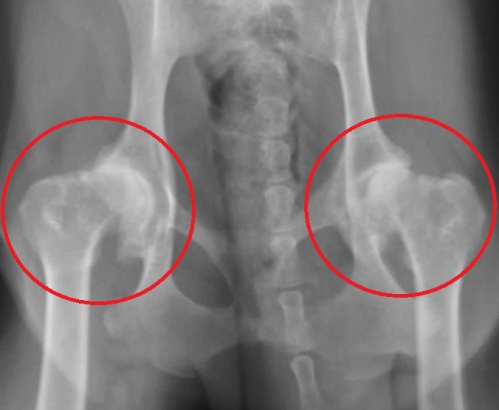
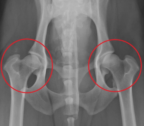
下は股関節の進行した変形性関節症のレントゲン写真です。赤丸の中が股関節ですが、大腿骨頭は変形して、関節内には骨棘の形成がみられます。同じ部位の正常写真が右です。
このワンちゃんは日常的に下肢の痛みを訴えており、運動状態によって、また寒い時期に悪化がみられます。後ろ足には常に痛みがあり、充分に動かすことができません。
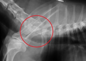
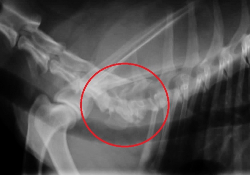
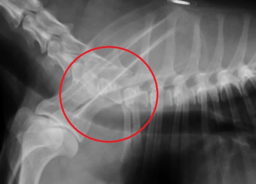
下の写真は日常的に常に頸部の痛みを訴えており、前足の歩行にも問題を生じている患者さんの重度の頸椎~胸椎の変形性脊椎症のレントゲン写真です。
左下の写真、赤丸の中に病変があり、各々の椎骨は両端が大きく変形しております。右下写真は同じ部位の正常なレントゲン写真です。左右の赤丸内の骨の変形が大きいのがお分かりになるかと思います。
>>>犬の変形性関節症(脊椎症)の治療は?
変形性関節症の原因が前十字靭帯断裂のような整形外科的疾患にある場合は、外科手術によって改善が見込める場合があります。しかしながら、関節面に起きてしまった損傷の根本的な治療は難しいため、症状を緩和させて病状進行をできるだけ遅らせ、関節軟骨の修復を促進することが治療方針となります。
痛みの管理にはまず、アスピリンをはじめとするさまざまな種類の非ステロイド性抗炎症薬(NSAIDs)が使用されます。近年開発された多くのNSAIDsには腎臓、肝臓、消化管等に対する副作用の発生が少ないとされていますが、臓器の機能が低下している高齢動物などでは注意を払う必要があります。また、治療はあくまで痛みを軽減するという対症療法に留まるため、病気の原因療法にはなりません。
関節軟骨の修復を促進させて痛みなどの症状の緩和と進行を遅らせる目的としてグリコサミノグリカン、ヒアルロン酸等のいわゆる病態修飾薬が用いられます。こういった薬剤は傷んだ滑膜機能を代替し、炎症緩和と関節軟骨代謝を高める作用で関節軟骨の修復を促します。人の医療分野ではヒアルロン酸製剤を関節内に直接投与して症状の緩和を図ることが整形外科外来などでしばしば行われています。
———————————————-
動物医療では関節内への薬剤投与を行うために鎮静ないし麻酔を実施する必要があり、人で行われているような薬物療法を選ぶことが長らくできませんでした。このような状況を解消するために開発された画期的な薬剤が多硫酸ペントサンナトリウムです。(商品名カルトロフェン・ベット、DSファーマアニマルヘルス)
この薬剤の特長は関節内投与によって期待されるような処置と同等な結果を簡便な皮下注射によって代替して、通院治療を可能とするところにあります。治療は1週間に1回、4回の来院でその後は半年程度と長期間の効果持続が期待できます。関節症のメカニズムとこのペントサンナトリウムによる治療の仕組みは以下の外部リンクをご覧になっていただければと思います。
関節疾患におけるサプリメントの市場は製造会社、製品ともに氾濫しています。体への吸収や利用率が低いという欠点はありますが、グルコサミンやコンドロイチン、コラーゲンといった軟骨組織を形づくる成分や抗酸化物質を含むサプリメントは手軽で使いやすく、補助的な手段として有効かもしれません。(写真例は左から、アンチノール、プロモーション、コセクイン)
———————————————-
上記の薬剤の組み合わせによる薬物治療で痛みの軽減が見られない、または不充分である場合には関節内への薬物療法を行います。動物での関節内投与の煩雑さは上で述べた通りですが、それにも増して症状のコントロールが難しい場合には全身麻酔や鎮静下での正確なレントゲン検査や関節液検査(細胞診、細菌培養等)と同時に関節内への薬物投与を行うことがあります。
この場合の治療の目的は関節内への局所麻酔薬の投与による神経ブロックによる痛みの軽減であったり、長時間作用型副腎皮質ステロイド製剤による関節炎の抑制を行うことです。もちろん、人で行われるようなヒアルロン酸などの関節保護物質を用いることもあります。
>>>犬の変形性関節症(脊椎症)の予防は?
関節症の発生において体重の与える影響は小さくなく、肥満の解消による関節への負担の軽減は、予防的手段として非常に有効です。
また関節痛を起こしている肢は運動や体重の負重や運動が制限されることから筋肉量が落ち、それに伴ってさらに関節への負担が増大するという悪循環におちいってしまいます。これを防ぐために適切なリハビリテーションを組み合わせることも有効でしょう。
———————————————-
文責:あいむ動物病院西船橋 獣医師 荒川 篤尭









![ka_001[1].jpg](/wp-content/uploads/2023/06/ka_001%5B1%5D__midium.jpg)
![about_sec2_img001[1].jpg](/wp-content/uploads/2023/06/about_sec2_img001%5B1%5D__small.jpg)
![63_1[1].jpg](/wp-content/uploads/2023/06/63_1%5B1%5D__small.jpg)
![011_img[1].jpg](/wp-content/uploads/2023/06/011_img%5B1%5D__small.jpg)