>>>犬の精巣炎・精巣上体炎とは?
まず、精巣や精巣上体、それを取り巻く血管や精管がどのような構造と位置関係なのかを下の写真でご覧になってください。精巣(黄色星印)でくつくり出された精子は副睾丸とも呼ばれる精巣上体(グリーン丸印)へと輸送されて貯蔵され、さらに精管(青矢印)を通って体内に運ばれます。
精巣や精巣上体は上の写真でお示ししたように隣接した細い管で連続する組織のため、どちらかに起きた炎症は他方に波及しやすく、精巣炎、精巣上体炎はしばしば同時にみられます。
睾丸に急性の炎症を引き起こすのは血液により運ばれたり、泌尿器から侵入したさまざまな細菌が原因となります。犬では他にも交通事故などで、また喧嘩の際の咬み傷などが陰嚢を突き抜けて精巣にまで及ぶような強い外傷も原因となり得ます。
精巣炎・精巣上体炎の原因菌は多岐にわたりますが、その中で注意すべき細菌として知られるブルセラ菌(Brucella Canis)によるものがあります。ブルセラ菌感染は犬の繁殖障害の原因として有名であり、メスでは胎児死亡、流産や早産、オスでは精子の形成異常から無精子症による不妊の問題を起こす治療の難しい細菌感染症です。
ブルセラ菌による精巣炎・精巣上体炎は感染初期にのみ精巣や精巣上体の脹れが一時的に起こり、その後は次第に精巣は萎縮していきますので目立つ症状はありませんが、精巣炎・精巣上体炎がみられた犬では必ず考慮する必要のある感染症です。ブルセラ菌は人間にも感染を起こすことがあるため人獣共通感染症としてもその取り扱いには注意が必要な細菌感染のひとつです。
>>>精巣炎・精巣上体炎の症状は?
精巣炎・精巣上体炎の症状はその経過によって様々ですが、一般的に急性感染を起こした場合には陰嚢やその内容に強い腫れと痛みを起こします。激しい痛みは陰嚢の外見上の変化に先んじることがあり、それに伴い元気食欲の低下がみられた場合には腰背部痛や消化管疾患などによる下腹部痛との区別が難しい場合があるかもしれません。さらに精巣炎・精巣上体炎はその感染の起源として前立腺炎を併発している場合があります。前立腺の炎症は下腹部痛を起こす可能性があり、同様に診断上の難しさを生じます。
急性の細菌感染を起こした精巣や精巣上体は大きく硬くなり、強い熱感と痛みを起こすため、犬は陰嚢を激しく舐め、しばしば陰嚢の皮膚炎を生じます。一部の急性精巣炎・精巣上体炎や慢性のものにはあまり症状がみられないこともあります。
>>>精巣炎・精巣上体炎の診断は?
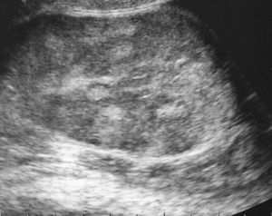
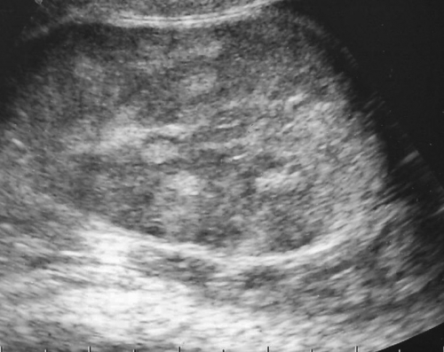
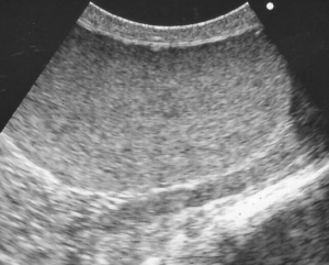
急に陰嚢が腫れていて、中身が硬く強い痛みがみられるような典型的な症状であれば、急性精巣炎・精巣上体炎を疑うことができます。超音波検査、および針生検により硬くなって大きさを増した精巣や精巣上体の一部を採取して、細菌感染や化膿性炎症がみられれば診断とします。
下の写真は精巣の超音波検査の画像です。正常な精巣は均一な画像(左)がみられますが、精巣炎・精巣上体炎の場合には異常に不均一なモザイク像が観察されます。
なお、精巣炎・精巣上体炎の原因となる注意すべき病原体としてブルセラ菌が知られておりますが、この細菌は細菌培養を行って、確定診断する必要があります。ブルセラ菌感染を疑う場合にはまず、血清学的検査でブルセラ菌に対する血液中の抗体価の測定や遺伝子増幅の仕組みを用いたPCR法によるブルセラ菌の遺伝子検査を実施する必要があります。
>>>精巣炎・精巣上体炎の治療は?
必ず抗生物質による治療を行いますが、薬剤の選択に際しては病変から針生検で採取されたものや、前立腺液から細菌培養を行い、薬剤感受性試験を行って効果が見込まれる抗生物質を決定します。検査結果が出るまでは泌尿器感染症に対して効果的な抗生物質を選択いたします。
強い痛みや腫れに対しては非ステロイド系抗炎症薬や鎮痛薬が使用されます。抗生物質や消炎鎮痛への対症療法があまり効果を示さない場合、症状緩和のために、精巣炎・精巣上体炎を起こしている精巣の摘出手術(去勢手術)が効果的であることもあります。
下の写真が精巣・精巣上体炎を起こした犬の精巣上体を黄色丸印で示しています。右が正常、左が精巣上体炎の見られた睾丸です。2週間程度の抗生物質による治療後にも痛みと腫れが残ったため、症状の緩和のために去勢手術を実施したものです。当初の著しい腫れは見られませんが、全体的にかなり赤みを帯びており、精巣上体は明らかに硬い印象がみられました。
———————————————-
文責:あいむ動物病院西船橋 病院長 井田 龍





