>>>犬の肥満細胞腫とは?
肥満細胞腫(MCT: Mast cell tumor)は犬の皮膚に発生する悪性腫瘍(皮膚がん)の16~21%を占め、皮膚腫瘍の中では多くみられる腫瘍のひとつです。皮膚がんとしてだけではなく肝臓、脾臓など内臓にも発生しますが、その多くは先んじて皮膚に発生が見られます。
肥満細胞腫の悪性度は総じてに高く、見た目よりも腫瘍の「裾野」が広いため、皮膚に発生したものは常に広範囲な切除を必要とします。不充分な切除では、再発・転移を繰り返す厄介な腫瘍です。
また腫瘍そのものの悪性度や病害だけでなく、腫瘍随伴症候群(副腫瘍症候群)という合併症を引き起こします。異常に増殖した肥満細胞が放出するヒスタミン、ヘパリンをはじめとするさまざまな種類の過剰な生理活性物質をにより様々な全身症状を引き起こすことがあります。
代表的な症状はヒスタミンによる胃酸の過剰分泌から胃潰瘍を生じたり、ヘパリンによる血液凝固異常、その他生理活性物質によるアナフィラキーショックなど生じるのが肥満細胞腫の特徴です。
肥満細胞腫の発生に性差はなく、高齢犬に多く発生しますが、生後数週間での発生例も報告されています。後発犬種はパグ、ボクサーなどですが、あらゆる犬種に高iい頻度に発生します。
>>>犬の肥満細胞腫の特徴は?
犬の肥満細胞腫は、体のあらゆる場所に発生する可能性がありますが、約90%が皮膚に発生します。単独での発生がほとんどですが、複数の部位に発生することがあります。
犬では悪性のことがほとんどであり、常に要注意な悪性腫瘍の扱いを受けますが、バグや猫では悪性度の低い肥満細胞腫が診断されることもあります。この腫瘍はヒトやフェレットでは良性の挙動をとり、動物種によってさまざまな現れ方をする腫瘍です。
直径1~10cmの腫瘤として見られますが、多くは3cm以下です。 明らかな腫瘤状のものだけではなく、表面が潰瘍化していたり、浮腫状のもの、脱毛・赤斑を伴った皮膚病に見えるものや小さなイボやポリープなどの腫瘤であったり、様々な形態をとります。
長い間大きさが変わらなかったものが急に大きくなったり、また小さくなったりすることもあります。皮膚に発生した腫瘤が肥満細胞腫かどうかを含めて、その悪性度を見た目や大きさだけでは判断することはできません。
例えば下の2枚の写真のように、どちらも1cmほどの一見して何の変哲もないおできのように見えますが、いずれも肥満細胞腫でした。この写真は手術時に毛を刈った後の写真ですから、被毛に覆われていれば普段の生活でこの程度の腫瘤に気付くことはなかなか難しいことではないしょうか?
>>>肥満細胞腫の診断は?
肥満細胞腫は一般の動物病院でも細胞診で迅速に診断することができる腫瘍のひとつです。細胞診とは、針で腫瘤を刺して細胞成分を吸い取り、取れた細胞を染色して顕微鏡で診断する方法です。通常は確定診断にはなり難く、その悪性・良性を確実に診断できない検査方法ですが、簡便に行えるため腫瘍診断の第一歩としてしばしば行われる検査です。
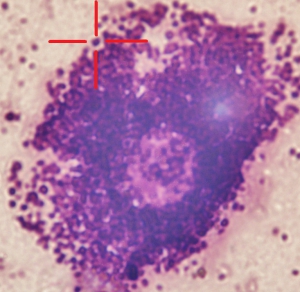
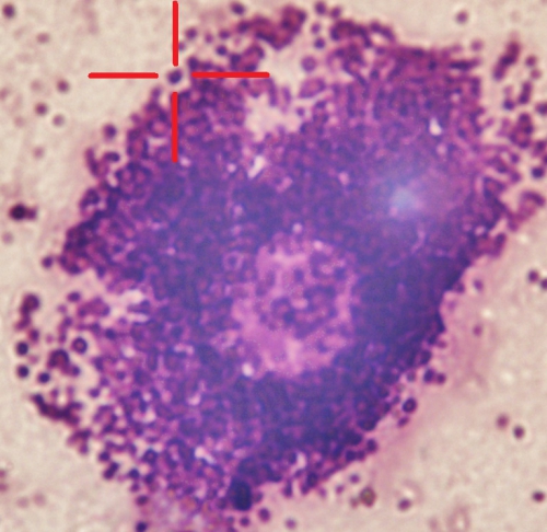
下の写真が肥満細胞腫の細胞診での顕微鏡像です。細胞質を埋め尽くすような特徴的な紫色に染色された顆粒が細胞質内に見えるのが特徴です。右下写真で、赤い十字線の真ん中に細胞質内顆粒を示しています。
肥満細胞腫は細胞診によってその診断や大まかな悪性度の判断がが行える腫瘍のひとつですが、その確定診断は手術によって摘出された腫瘍の病理組織検査によって行います。
手術に際して食欲不振、嘔吐、胃腸の潰瘍、黒色便など腫瘍によって生じている症状が存在する場合は、より悪性度が高く、全身状態の悪化が生じていると考えられます。このようにグレード分けされた腫瘍そのものの悪性度だけではなく、臨床ステージによって病状を総合的に判断して治療方針や予後の判定を行うことが重要です。
>>>肥満細胞腫の治療は?
肥満細胞腫の治療法には、外科療法(手術によるもの)、化学療法(薬物によるもの)、放射線療法があります。治療は基本的には外科療法にその他の治療法を加えるパターンとなりますが、何らかの理由により外科療法が選択できない場合、その他の方法を単独ないし併用して行う場合もあります。
———————————————-
〇肥満細胞腫の外科療法について
腫瘍の発生した場所が広範囲に切除可能な部分であれば、最初の手術によって確実に摘出することが治癒率の上でとても重要です。肥満細胞腫は見た目よりも周囲により広がっていることが多く、正常に見える部分にも腫瘍細胞が含まれている可能性があります。
このため、腫瘍の周囲と、深さに数cm以上の充分なサージカルマージンをとった思い切った切除をすることが重要となります。 充分なマージンがとれない部位、例えば脚先などに発生した場合は、断脚という提案がなされる可能性もあります。
(サージカルマージンとは腫瘍組織と正常組織の間を隔てるエリアのことで、いわば緩衝地帯です。マージンが広ければ広いほど腫瘍を完全に隔離して摘出することができます。)
下の写真は1cm弱の肥満細胞腫の切除でのマージンの例です。腫瘍の直径に対してかなり大きく切除するのがお分かりになるかと思います。
しかしながら、充分に積極的な手術を行っても、およそ3分の1の悪性度の高い肥満細胞腫が術後数か月以内に再発する可能性があります。 正常細胞に近い形態をとる高分化型の腫瘍は局所再発の可能性が低く、そうでない未分化型の場合は再発の可能性が非常に高くなります。
広範囲な切除によって体の機能を棄損してしまう可能性のある場所での肥満細胞腫は完全な摘出が難しい場合があります。下の写真は肛門の右上、2時方向に発生した肥満細胞腫です。肛門・会陰付近の場合には肛門括約筋の損傷や除去により糞便の排泄に問題を生じる可能性があります。
腫瘤が大きかったり、完全摘出による機能の棄損が重大であるなど、何らかの理由で広範囲な切除が難しい場合には、対症的治療として姑息手術を行う場合もあります。これは、腫瘍の大きさ(腫瘍細胞数)を減らすことで、抗がん剤、放射線療法などの効果が大きくなる期待や、副腫瘍症候群の軽減に役立つなど、延命を図る目的で犬に何らかの利益を与えることができることを目的とした治療です。
———————————————-
〇肥満細胞腫の薬物療法について
肥満細胞腫は標準的には外科手術により治療を行うため、薬物療法はそれを側面から支援する補助療法として利用されます。最近、利用可能になっている分子標的薬は単独での治療効果を示す可能性がありますが、最初の外科手術によってできるだけ完全に切除するというのが最も確実であることには変わりはありません。
肥満細胞腫に対して手術前後で使われる薬剤としては、プレドニゾロンなどの副腎皮質ステロイド剤、各種抗ヒスタミン剤、抗がん剤(ビンブラスチン、ロムスチン等)、分子標的薬(イマチニブ、マシチニブ、トセラニブ等)があります。
〇分子標的薬について
肥満細胞にはその増殖をコントロールする、KITと呼ばれるたんぱく質の鍵穴を持っていることが多いとされています。正常なKIT蛋白は細胞外からの「増殖指令」を受けて、それを細胞に伝達するいわば「スイッチ」の働きをもっています。「増殖指令」がないのに増殖を促す刺激を続けてしまう異常によって、肥満細胞腫の引き金が引かれると考えられています。
こういった細胞表面などに存在する「スイッチ」を何とか調節できないか?という研究から生まれた一連のグループの薬を、分子標的薬といいます。現在、多種多様な分子標的薬が主に人のがん治療の分野で積極的に使われるようになっており、既存の治療のあり方を変えるほどの大きな影響を与えています。
近年、動物医療でも、KIT蛋白の異常を起こす遺伝子(c-kit)の変異を検査することがいくつもの商用の検査センターで可能になってきております。また、肥満細胞腫の治療薬として、2014年に経口薬の「トセラニブ(商品名パラディア)」が国内で承認を受け、犬用として発売されるに至っております。
トセラニブやそれ以前に肥満細胞腫の治療に用いられてきた、イマチニブ(グリベック)、マシチニブ(キナベット)(日本未発売)を総称して、チロシンキナーゼ阻害薬(TKI)と呼びますが、いずれもKIT蛋白の異常による腫瘍の「増殖スイッチ」を「OFF」にして肥満細胞腫を治療することができます。
下の写真は犬の肥満細胞腫に対する治療薬として認可を受けた、分子標的薬の「パラディア錠」(トセラニブ)です。飲み薬による在宅での治療が可能になりました。
———————————————-
〇肥満細胞腫の放射線療法について
腫瘍はその種類によって放射線療法が効果を示すものからあまり期待できないものまでさまざまです。肥満細胞腫は一般的に放射線治療に対する感受性が高く、治療効果が期待できる腫瘍のひとつであり、グレードの高い(悪性度の高い)肥満細胞腫の摘出が不完全であっても術後の放射線治療により長期の生存を期待することができます。
放射線療法の欠点は簡便に受診できる治療でなく、かつコストの高い治療法であるという点です。動物医療では設置が難しい放射線治療器と、その運用に専門的な知識を要するため、実施可能な施設が大学や一部の二次診療の動物病院などに限られています。
>>>腫瘍随伴症候群とは?
腫瘍随伴症候群(副腫瘍症候群)とは、腫瘍によって引き起こされる疾患のことです。腫瘍の病害性は正常組織への圧迫、浸潤だけではなく、腫瘍細胞が分泌するホルモンやサイトカインなどの作用によって生じたり、腫瘍に対する体の免疫反応による疾患を引き起こすことがあり、これにより命を落とす例があります。
肥満細胞の細胞内には、たくさんの生理活性物質を含む顆粒(下写真)が存在します。生理活性物質とは体内に炎症やそれに伴う発熱、痛みやアレルギー反応を次々に引き起こす作用のある物質の総称です。
下の写真は細胞診で採取された腫瘍化した肥満細胞です。細胞質全体に紫色に染色される顆粒が充満しているのがお分かりになるでしょうか?赤い十字線の真ん中に細胞質内顆粒を示しています。
上の写真のおびただしい数の顆粒の中にヒスタミン・セロトニン・ヘパリン・ ロイコトリエン・プロスタグランジン・タンパク分解酵素などの数多くの生理活性物質が含まれています。 これらの物質を大量に含む肥満細胞腫が異常に増殖して脱顆粒を起こすと、これらの物質が様々な刺激によって組織や血液中に一挙に流出して、全身にさまざまな障害を引き起こします。
肥満細胞腫の周辺組織にはの腫瘍の放出するサイトカインにより血管通過性の増大によって炎症や、出血が起こりやすくなっています。動物が噛んだり、舐めたり、擦ったりすると周囲にじんま疹および紅斑、皮下出血などを示すことがあります、これを「ダリエ徴候」と呼び、肥満細胞腫に伴ってしばしば見られます。
動物の自傷行為以外にも触診や、腫瘍に針を刺す細胞診、バリカンなどによる毛刈りなどの医療行為によっても引き起こされることがあり、腫瘍へのこういった刺激は重篤な場合には肺水腫やアナフィラキシーを生じて重症化し、ショックから突然死に至ることさえあります。
ヘパリン様物質の影響で腫瘍やその周辺、全身的に血液凝固障害がみられたり、不完全な切除で手術後に腫瘍細胞が残存している場合、タンパク分解酵素・ヒスタミンなどの影響で傷口の治癒が阻害されます。
巨大な腫瘍や腫瘍随伴症候群の激しい症例では、放出されたサイトカインにより全身の血管通過性が亢進し、致死的な肺水腫を起こしたり、急激な血圧低下を生じるなど、手術に関わるリスクを上昇させます。
———————————————-
文責:あいむ動物病院西船橋 獣医師 中山 光弘







