>>>猫の変形性関節症とは?
変形性関節症(DJD: degenerative joint disease、OA: osteoarthritis)とはすべての関節に起こる可能性がある、何年にもわたって進行する関節破壊を生じる病態の総称です。これは変形性関節炎だとか単純に「慢性の関節炎」などといわれていた関節の異常を含みます。変形性関節症のうち脊椎に起きたものを変形性脊椎症と呼びます。
関節を形づくる骨の末端では、硬い骨同士が直接こすれたり衝突しないよう、クッションの役目を果たす関節軟骨で覆われています。関節は滑膜に内張りされており、そこから分泌される滑液と呼ばれる粘稠性の液体が関節軟骨への栄養供給や関節面を滑らかに保つ役割を担っています。
変形性関節症とは、関節のこのような一連のしくみの異常によって、正常な関節機能が破壊されて、痛みや歩行障害を生じる疾患のことをいいます。つまり、変形性関節症とは軟骨の損傷と軟骨を作り出す細胞の死を特徴とする進行性、消耗性の変化の結果なのです。
>>>猫の変形性関節症の原因は?
変形性関節症は、関節面の摩耗や関節にかかる荷重バランスの変化によって軟骨にダメージが蓄積することで発生します。軟骨が破壊されると周囲の滑膜の炎症が誘導され、滑液中へのヒアルロン酸分泌が減ることでさらに軟骨代謝が悪くなり、軟骨の変性が進む悪循環により、関節構造は本来のクッションとしての役割を充分に次第に発揮できなくなっていきます。
原因としては加齢による関節軟骨の老化がまずあげられます。猫では少ないですが、前十字靭帯断裂、膝蓋骨脱臼、股関節形成不全等の整形外科疾患や外傷、場合によっては栄養的な問題も要因となり得ます。そのほかスコティッシュフォールドなど特定の猫腫に特徴的にみられる骨軟骨異形成症といった遺伝的疾患によって若齢から症状を現すこともあります。また、肥満による関節への負担増は疾患の発症と悪化のリスクを高めます。
>>>猫の変形性関節症の症状は?
猫の変形性関節症の症状は、犬に比べてより潜在的であり、発症に気づかないケースが多々あります。
具体的には以前のように遊ばなくなった、寝ていることが多くなった、段差の昇り降りを嫌がるなど、一見老化によるものとして片づけられてしまうような行動の変化も、実は変形性関節症の痛みが原因の可能性があります。
猫の変形性関節症は全身のどの関節にも起こり得ますが、荷重のかかりやすい肘関節、股関節、とくに膝関節でよくみられます。また脊椎に発生して神経痛や麻痺などの神経症状につながる可能性のある最後腰椎と仙椎の間の変形性関節症にも猫ではよく遭遇します。
下のレントゲン写真がそういった変形性脊椎症で、椎骨が不安定化している部分には棘のように見える骨棘(こつきょく)がみられます。このような例では腰の部分を触ろうとすると強い痛みを訴えて、排便や排尿に支障がみられることもしばしばです。
>>>猫の変形性関節症の診断は?
変形性関節症があるかどうかは飼い主さんからの訴えや診察室内での様子や触診、レントゲン検査などにより行われます。初期には明らかな症状を示さないことが多いですが、病状の進行に伴い、なんらかの疼みの徴候を示すようになります。
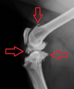
レントゲン検査では軟骨の評価が難しく、初期の病変を把握することは困難ですが、重症化するにつれて軟骨の付着している骨の部分が白っぽく硬化したり、骨棘(こつきょく)形成、炎症で増えた関節液による関節包の腫れなどが見られるようになります。
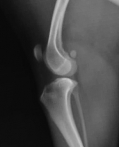
左下の写真がかなり重度の変形関節症を起こしている猫の膝関節のレントゲン写真です。赤い矢印で示したような関節症の進行に伴う関節鼠(ねずみ)(軟骨や骨のかけら)や骨棘(骨のでっぱり)が何か所も見られています。右が正常のものです。
>>>猫の変形性関節症の治療は?
変形性関節症の原因が前十字靭帯断裂のような整形外科的疾患にある場合は、外科手術によって改善が見込める場合があります。しかしながら、関節面に起きてしまった損傷の根本的な治療は難しいため、症状を緩和させて進行をできるだけ遅らせ、関節軟骨の修復を促進することが治療方針となります。
変形性関節症での痛みの管理は猫の生活レベルを保つためにはとても重要です。古くはアスピリンをはじめとするさまざまな非ステロイド性抗炎症薬(NSAIDs)が使用されてきましたが、人間とは薬の代謝排泄の異なる猫では人間用の製剤では副作用のため長期に使用できなかったり、そもそも猫で使用できない薬剤も多く、治療の選択肢は限られておりました。
近年、猫にも安全に使用できる新しいNSAIDsの開発が相次ぎ、腎臓、肝臓、消化管等に対する副作用の発生が少なく、長期の使用に耐える製剤による治療が可能となりました。
下写真が猫用の代表的な薬剤です。投薬の難しい猫では投与しやすい製剤となっているのが特徴です。左が猫用オンシオール錠(ロベナコキシブ、ノバルティス製)、右がメタカム猫用経口懸濁液(メロキシカム、ベーリンガー製)です。
しかしながら、抗炎症薬による治療はあくまで痛みの治療という対症療法に留まるため、原因療法にはなりません。また、長期投与に当たっては変形性関節症がみられるような高齢猫で腎不全など臓器の機能が低下している場合も多く注意を払う必要があります。
関節疾患におけるサプリメントの市場は製造各社、製品共に多数が氾濫しています。猫ではサプリメントを与えにくいということから犬ほど選択肢は多くありません。また、その吸収や利用率が低いという欠点はありますがグルコサミンなどといった軟骨組織を形づくる成分や抗酸化物質を含むことを謳っているサプリメントを組み合わせることも症状低減のためには有効かもしれません。
>>>猫の変形性関節症の悪化予防は?
関節症の発生とその悪化に関して体重の与える影響は小さくなく、肥満の解消による関節への負担の軽減は、予防的手段として非常に有効です。
また関節痛を起こしている肢は運動や体重をかけたり運動することが制限され、筋肉量が落ち、それに伴ってさらに関節の動きが悪くなって、痛みや関節への負担が増大するという悪循環におちいってしまいます。適切な運動のための痛みのコントロールを行いながら適切な運動やリハビリテーションを組み合わせることも有効でしょう。
———————————————-
文責:あいむ動物病院西船橋 獣医師 荒川 篤尭
