>>>犬の胆嚢粘液嚢腫とは?
胆汁は「古くなって壊された赤血球」や「不要なコレステロール」等のゴミが肝臓で代謝されてリサイクルされた「脂肪の消化に欠かせない消化液」です。胆汁は肝臓から常に分泌され続け、胆管を通って胆嚢に一時的に貯蔵されます。胆嚢は胃の中に食事が入ってくると収縮して溜まった胆汁を総胆管を通じて十二指腸に送り込みます。肝臓と胆管、胆嚢、小腸の位置関係を下図に示します。右下が胆嚢の模式図です。
つまり、胆嚢(右下図、青矢印)とは消化液としての胆汁を効率よく十二指腸に送り込む「ポンプの役割」を果たしている臓器です。
胆嚢粘液嚢腫(たんのうねんえきのうしゅ)とは、ムチンという「ネバネバした物質に富む粘性物質」が胆嚢に過剰に蓄積することによって、肝臓から胆嚢・胆管を経て十二指腸に至る胆汁排泄のしくみに大きな問題を生じる病態をいいます。
この病気の主原因となるムチンとは糖タンパクと呼ばれる蛋白質の一種で、あらゆる粘膜から分泌される粘液の主成分で「潤滑剤」のような性質を持つ物質です。ムチンを含む粘液は粘膜を乾燥や摩擦から守り、病原体の感染を防ぐなど、粘膜の機能を維持する上で重要な役割を持っています。
胆嚢粘液嚢腫にみられるムチンを主成分とする「粘性物質」は通常の粘液よりも非常に粘りが強く流動性に乏しいため、胆嚢に蓄積してさらに硬いゼリー状となり、本来胆汁で満たされるはずの胆嚢を雪だるま式に「粘液の塊」で置き換えてしまいます。過度に蓄積した「粘性物質」は胆嚢収縮を妨害するだけではなく、胆嚢壁を内側から圧迫することによって虚血を引き起こします。また、胆嚢に通じる胆管にも蓄積して胆汁の流れを妨害してしまいます。
その結果として胆嚢炎、閉塞性黄疸、胆道の壊死や胆嚢破裂などの深刻な状態を引き起こします。このうち胆嚢破裂による胆汁性腹膜炎は胆嚢粘液嚢腫が引き起こす最も緊急性が高く大きな問題のひとつです。
この粘液の塊の中には胆汁が固体に変化した胆石や濃縮・変質して泥状になった胆泥などの胆汁由来の不純物が含まれることが多いため、こうした胆石や胆泥などの胆嚢粘膜への刺激によって「粘性物質」の産生が刺激されると考えられていますが、現在のところ胆嚢粘液嚢腫の明らかな原因は不明です。
胆嚢粘液嚢腫を起こしやすい基礎疾患としては高コレステロール・高中性脂肪血症など高脂血症を生じる脂質代謝の異常、甲状腺機能低下症や副腎皮質機能亢進症が挙げられます。シェットランドシープドッグやミニチュア・シュナウザー、アメリカン・コッカースパニエルなどが好発犬種とされていますが、国内で飼育頭数の多い小型犬にも幅広くみられます。
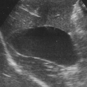
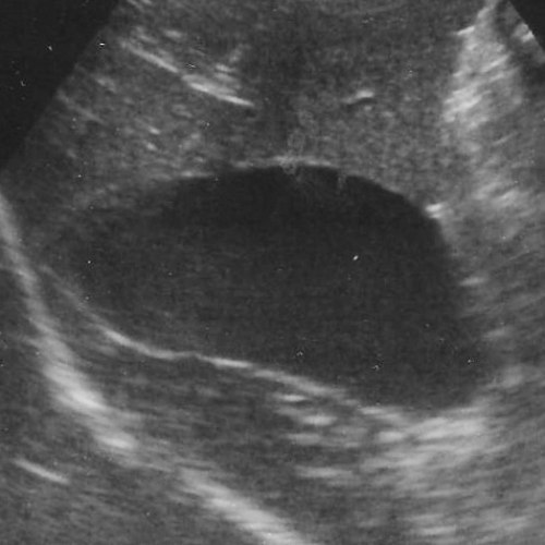
左下の写真が胆嚢粘液嚢腫の胆嚢の超音波検査のイメージです。本来は、画像上で真っ黒く抜けている円形の胆嚢の断面像に「キウイフルーツ」の切り口のように見えるようなパターンを生じるのが典型的ですが、その他に胆泥症との区別が難しいものなど、幾つかのバリエーションに富む異常を呈します。比較のために正常な胆嚢を右の写真を右写真に示します。
左写真のワンちゃんは胆嚢粘液嚢腫の診断後約1年で胆嚢破裂を起こして緊急手術となっています。
典型的な胆嚢粘液嚢腫によって破裂した胆嚢内の粘液性物質が下写真で、ちょうど胆嚢壁を除去して外側から観察しているイメージです。胆嚢には本来ならば液体の胆汁が満たされているはずですが、写真のような「粘度の高く硬いゼリー状物質」に置き換わってしまっていることがよく観察されます。
下は胆嚢粘膜と密着した「外側の粘液物質」を除去したものです。胆嚢粘液嚢腫では、写真のように胆嚢の中心~外側に向かって放射状に「胆汁が固まったゼリー状物質」がみられることがしばしばみられますが、この構造が超音波検査で胆嚢粘液嚢腫に特徴的な「キウイフルーツ」のような像をつくりだすようです。
>>>胆嚢粘液嚢腫の症状は?
胆嚢は「沈黙の臓器」として有名な肝臓に代表されるような症状の出難い臓器のひとつです。症状は病気が深刻化しない限り表面化しません。そうした特徴のためか胆嚢粘液嚢腫の症状は無症状である期間も長く、さらに最悪は突然死に見えるようなものに至るまでその重症度は様々です。
一般的には食欲不振、下痢、嘔吐、沈鬱、腹部痛など他の疾患との区別のはっきりしない症状が繰り返すようにみられます。胆道閉塞などがある場合には黄疸がみられることもあり、その他に強い腹部痛や腹水などによる腹部の膨らみなどがみられた場合には胆嚢破裂や腹膜炎などの緊急状態を考えなければなりません。
さらに、胆嚢粘液嚢腫はその合併症として膵炎、腹膜炎などをしばしば起こし、重篤化した場合には腎不全や多臓器不全、全身に出血傾向を起こす治療の困難なDIC(播種性血管内凝固)を生じる可能性があります。
胆嚢粘液嚢腫では、結果として起こる胆嚢破裂や胆道閉塞、重篤な合併症などが生命に関わるリスク要因となります。これらのうち、特に胆嚢破裂やさらに胆汁性腹膜炎は発生から緊急状態に至るまでの経過が早く、緊急に手術をおこななければ致死的な経過をとるため、緊急に対応する必要があります。
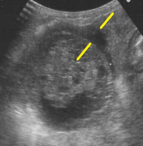
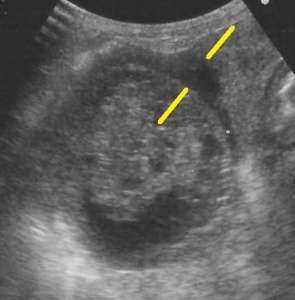
下の超音波像は胆嚢破裂の初期の胆嚢をみたものです。中央部に胆嚢粘液嚢腫がみられますが、黄色腺の間に示されている「三角形の黒いエリア」が胆嚢壁の外側に広がっています。これは胆嚢壁の裂け目から内部の「粘液状物」が腹腔内に出ていたり、周囲の組織との強い癒着や炎症を示す画像です。ご参考までに右が正常の胆嚢です。
上記の患者さんは食欲がなく、頻発する嘔吐と腹部痛を理由に来院いたしました。その後直ちに胆嚢摘出術を実施して事なきを得ています。
>>>胆嚢粘液嚢腫の診断は?
胆嚢粘液嚢腫の診断とその評価は超音波検査によって行われます。レントゲン検査やCTなどのその他の画像検査では胆嚢と内容物の状態を評価することができませんので、胆嚢破裂や周囲の腹水の有無も含めて初期診断から手術の必要性に至るまで超音波検査を主体にして行います。
胆嚢周囲に腹水がみられる場合には、腹水を採取して細胞診や腹水の特徴を検査することによって、胆嚢粘液嚢腫に合併する腹膜炎や、緊急度の高い胆嚢破裂による胆汁性腹膜炎を診断することができます。
胆嚢粘液嚢腫は無症状のこともありますが、多くの場合に胆嚢炎や胆管炎、胆管閉塞などを併発しています。また肝疾患やその他の病気を区別するためにも血液検査、レントゲン検査などが必要です。
>>>胆嚢粘液嚢腫の治療は?
胆嚢粘液嚢腫の治療はそのステージや合併症の有無によってによって対処方法が大きく異なります。
超音波画像の上で胆嚢粘液嚢腫のみで症状を欠く場合には、食事を「低脂肪食」に変更して、利胆薬のウルソデオキシコール酸、メトロニダゾールなどの抗菌薬、タウリンやS-アデノシルメチオニン(SAMe)などの強肝薬などを用いた内科的治療を行います。
また、基礎疾患として脂質代謝異常や甲状腺機能低下症もしくは副腎皮質機能亢進症などの内分泌疾患があればその治療を実施いたします。
胆嚢粘液嚢腫と診断された犬のおおよそ1割がいずれ胆嚢破裂を起こすといわれております。この病気は安定に手術ができる期間を逃すと「手術難易度」や「手術後の回復」、「合併症の発症」に大きな悪影響を与えて最悪の場合には死を招く可能性が高いため、内科的治療により改善が無かったり進行しているような場合には無症状のうちに胆嚢摘出を行うことが推奨されています。
とはいえ無症状であるが故に、予防的な胆嚢摘出手術に踏み切ることができるケースはかなり限られています。問題が起こる前に手術を行うべきかということに関して、胆嚢の収縮試験の有用性がいわれています。これは胆嚢収縮作用を持つ抗生物質のエリスロマイシンを用いて予防的な胆嚢摘出術の必要性を基準に従って評価する方法で、一定の客観性を持つ評価方法です。
———————————————-
下の写真は大量の胆石を伴う胆嚢粘液嚢腫を摘出したものです。左写真が摘出した胆嚢で時計の11時方向の切除端からは内容物の粘度が高いため中身の胆汁が出てきていないことに注目してみてください。
右の写真ではゼリー状物質に包まれた胆石が多数みられています。胆嚢粘液嚢腫には典型的な「粘性物質」のみではなく多くの不純物が含まれることも少なくありません。
下の写真はゼリー状の粘性内容物を洗浄してを取り出した多数の胆石です。
———————————————-
文責:あいむ動物病院西船橋 病院長 井田 龍









__midium.jpg)