>>>犬の胆泥症(たんでいしょう)とは?
胆汁は「古くなって壊された赤血球」や「不要なコレステロール」等のゴミが肝臓で代謝されてリサイクルされた「脂肪の消化に欠かせない消化液」です。胆汁は肝臓から常に分泌され続け、胆管を通って胆嚢に一時的に貯蔵されます。胆嚢は胃の中に食事が入ってくると収縮して溜まった胆汁を総胆管を通じて十二指腸に送り込みます。肝臓と胆管、胆嚢、小腸の位置関係を下図に示します。
つまり、胆嚢(下図、青矢印)とは消化液としての胆汁を効率よく十二指腸に送り込む「ポンプの役割」を果たしている臓器です。
超音波検査で観察される胆嚢は右下写真のように中身が「黒い水風船」のように見えるのが正常な見え方です。左下図はそれに一致させた胆嚢の模式図です。
———————————————-
「胆泥」とは胆嚢の超音波検査の際に正常な胆汁とは異なって見える「何か」です。胆嚢内で検査の際の体位によって移動するような「泥状」であったり「砂粒物」として観察される沈殿物のようにみえるものの総称です。胆泥症は高齢犬における胆嚢の異常所見のうち最も頻度の高いものです。
動物病院で「胆泥症」とされるのは胆嚢内の「泥状あるいは砂状物質」が超音波検査の画像で確認できるという意味であり、それが一体何なのかという点と、本当に治療が必要な病気なのかという点についてやや曖昧さを含む胆嚢の異常です。そのほとんどが超音波検査の性能の向上と普及とともに、問題視されることが多くなってきた画像上の異常のことを指します。
胆泥をかたちづくっているのはコレステロールや黄疸色素(ビリルビン)、カルシウムなどの微細な結晶が胆嚢壁から分泌される粘液に包まれたものと考えられますが、他にも炎症によって生じた白血球や繊維素、壊死組織、凝固した血液、粘液などの胆嚢内に浮遊する微細な集塊が同じように見えることもあります。
胆泥は胆嚢の収縮能力が低くなって胆汁の流れが滞ったり、胆汁成分の何らかの変化によって生じるといわれています。無症状であることも多くみられますが、胆嚢炎、肝炎、胆管閉塞、腸炎、膵炎、甲状腺機能低下症、副腎皮質機能亢進症などの病気は胆泥を伴いやすいという特徴がありますので胆嚢に影響を与える疾患に注意を払う必要があります。
つまり「胆泥症」そのものは胆嚢にみられる異常でありますが、病気としてはむしろ胆嚢以外での異常に伴うサインのひとつであるとも考えられます。もちろん胆嚢炎での細菌感染が原因となって生じる感染性胆汁の存在や、胆泥症が進行して胆石形成や胆嚢粘液嚢腫に移行する可能性もあるため、胆嚢疾患としての胆泥症にも注意は必要です。
>>>胆泥症の症状は?
胆嚢は「沈黙の臓器」として有名な肝臓に代表されるような症状の出難い臓器のひとつです。症状は病気が深刻化しない限り表面化しません。そういう傾向もあるため胆泥症は無症状のことがほとんどで、健康診断や肝酵素の上昇があるような場合やその他の理由で行った腹部超音波検査の際に偶然に見つかることがしばしばです。
胆泥症の経過観察中に胆嚢炎や膵炎、肝炎、腸炎などが併発するような場合には元気・食欲低下、下痢・嘔吐、腹部痛などの間歇的なさまざまな程度の消化器症状がみられることもあります。
>>>胆泥症の診断は?
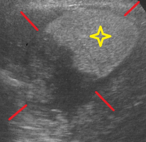
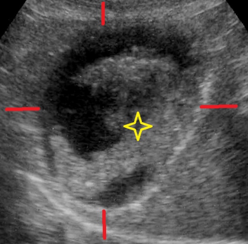
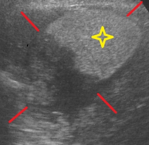
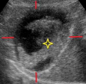
胆泥症の診断は超音波検査によって行われます。典型的な胆泥は画像上で黒く抜けて見える正常な胆汁を背景に胆嚢内を「半月状や不整形」に占拠するような見え方をするのが特徴です。また、また超音波プローブの動きや患者さんの姿勢変化で胆嚢内を緩やかに流動して沈殿するような見え方を特徴とします。
(下図で赤い線に囲まれた黒い円が胆嚢です。胆泥は黄色星印で示しています。)
胆嚢超音波検査の際には同時に胆石や腫瘤の有無や胆嚢粘液嚢腫との区別を行う必要があります。胆嚢炎や胆管炎、膵炎など、胆嚢に隣接する部位に異常を起こしているような場合には検査時に超音波プローブによる圧迫を嫌がるなど痛みと思われる不快感を訴えることもあるかもしれません。
超音波検査では胆泥が他の病気の併発症である可能性も考え、肝臓、胆管、十二指腸を含む小腸、さらに副腎の評価も同時に行います。
また、血液検査での肝酵素値の評価や胆泥の発生要因となる高脂血症、さらに必要であれば甲状腺機能低下症、副腎皮質機能亢進症の診断を行います。
>>>胆泥症の治療は?
胆泥症の治療は原因となっている疾患や併発症によって異なります。
肝外胆管の閉塞による急性黄疸など、緊急の外科手術を要するものでなければ、内科的治療を行います。
ウルソデオキシコール酸などの胆汁分泌を増加させる利胆剤や、胆嚢出口の筋緊張をほぐして胆汁を排泄しやすくするトレピブトン、胆嚢収縮作用を持つエリスロマイシンなどを使用します。補助薬としてタウリンやスルフォアデノシルメチオニン(SAMe)などの肝庇護薬を用いたり、食事を低脂肪食へ変更することもあります。
胆泥症に胆嚢炎や膵炎が関わるような場合は適切な抗生物質を使用します。また、基礎疾患として甲状腺機能低下症や副腎皮質機能亢進症がある場合にはまずその治療を行います。
内科的治療による治療を行っても胆泥症が進行して、胆石形成や胆嚢粘液嚢腫へ進行がみられる場合、内科的な管理のできない重度の胆嚢炎や肝外胆管閉塞に進展するような状態では外科的治療が選択されます。標準的には胆嚢切除とそれに続く総胆管のカテーテル洗浄となりますが、総胆管の開通が見込めない場合には胆嚢から直接十二指腸に胆道路を変更する胆嚢十二指腸吻合術が必要となることもあります。
———————————————-
文責:あいむ動物病院西船橋 病院長 井田 龍





