>>>犬の口腔内メラノーマとは?
犬の口腔内(口の中)の悪性メラノーマは犬でよくみられる口腔内悪性腫瘍のひとつです。特に小型犬やレトリーバー種では口腔内の悪性腫瘍としてまず疑うべき腫瘍です。良性のことが多い皮膚メラノーマとは異なり、そのほとんどが高度に悪性です。腫瘍周辺の組織への強い浸潤性の増殖と局所リンパ節や肺への転移が高頻度にみられます。
>>>口腔内メラノーマの特徴は?
多くの口腔内メラノーマは歯肉部から発生することが多く、発生の多い部位は順番に口唇(くちびる)、舌、上あごの硬口蓋(こうこうがい)です。初診時には既に進行した状態のことが多く、腫瘤が口腔内のかなりの部分を占拠していることもあります。
色調は黒く色素沈着していることがメラノーマの特徴ですが、おおよそ3割程度はメラニン欠乏性の無色素性メラノーマ、乏色素性メラノーマといわれる「黒くないメラノーマ」の様相を呈します。こういった乏色素性メラノーマであった患者さんの写真を下に示していますが、その色調はピンク色です。
下の写真は小型犬で見られた下顎の歯肉に発生した通常の悪性メラノーマですが、写真のように見かけ上の色素が薄い場合には、飼い主さんがそれをメラノーマであると予想することは難しいかもしれません。
>>>口腔内メラノーマの症状は?
口の奥など見えにくい場所に発生した口腔内メラノーマは発見が遅れて初診時にはかなり大きくなっています。このため「口の中に腫瘍がある」という理由での来院の中には既に進行したものが多くみられます。
口腔内メラノーマに関連する症状では「口臭がひどくなった」というものや、「口から出血している」、流涎(ヨダレ)、食欲低下、すでに肺転移を起こしている場合は咳や呼吸の異常を訴えて来院する場合もあります。
>>>口腔内メラノーマの診断は?
犬では口腔内の悪性腫瘍を疑った場合、口腔内メラノーマや扁平上皮癌、線維肉腫などを考慮します。特徴的な黒い色素沈着がみられる腫瘤の場合や小型犬やゴールデンレトリーバーなど口腔内メラノーマの発生率が高い犬種の場合にはまず疑わなければならない腫瘍です。
通常は針生検による細胞診によりメラニン顆粒を含む大量の腫瘍細胞を採取することで迅速に診断を行うことができますが、メラニン色素に乏しいメラノーマの場合には診断が困難なことがあります。正確な診断のためには病理検査が必要となります。
口腔内メラノーマは周辺のリンパ節や肺に高頻度に転移を起こします。肺への遠隔転移を確認するためには最低3方向からの胸部レントゲン検査によって肺転移の有無を確認します。同時に、リンパ節が腫れていればもちろんですが、疑わしいリンパ節に対しては針生検を行い、腫瘍細胞の有無を調べます。
>>>口腔内メラノーマの治療は?
初期治療としては外科的摘出が第一選択です。メラノーマを含むできるだけ広い領域ごと摘出する必要があります。口腔内メラノーマは治療開始の時点で既に転移がみられていることも多く、根治には困難が伴いますが、早期に行われる積極的な外科手術は動物の苦痛の緩和だけではなく、生存期間をも延長することがあります。
積極的な局所治療は、メラノーマの下層にある骨切除が必要となります。特に下顎に発生したメラノーマに対して下顎骨切除が行われたものでは再発率を大幅に下げることができます。
カルボプラチンやシスプラチン等のプラチナ製剤などの抗がん剤を用いた手術後の補助手的化学療法は転移性病変や取りきれなかったメラノーマに対して一定の寛解(かんかい、腫瘍が消えたり縮小したりすること)がみられることがあり、メラノーマの局所治療の一環として補助的に働くことが期待できます。
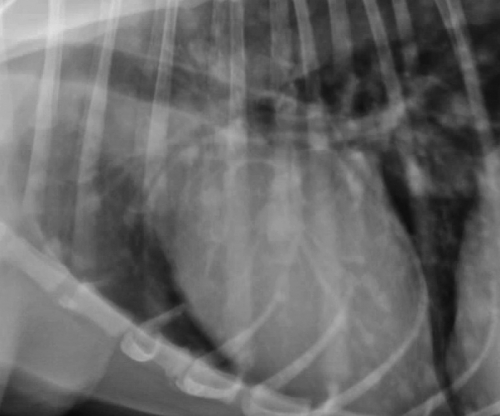
下の写真はそうした口腔内メラノーマの肺転移を示すレントゲン写真です。下の写真で細い黄色丸の中をはじめ、白い塊状に見える転移巣が広範囲に多数みられています。
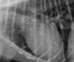
下の写真が抗がん剤(カルボプラチン)の使用によって転移巣の縮小と消失がみられるのが下の写真です。転移巣が画像の上でほぼ消失しているのが分かります。このように肺転移を起こしたメラノーマが長期にコントロールできる例もあります。
放射線療法は実施可能な施設が限られますが有用です。サイズの小さな腫瘤、切除不可能、もしくは取りきれず残存した口腔内メラノーマに対して放射線療法を行うことにより、長期の局所のコントロールができる場合があります。
———————————————-
文責:あいむ動物病院西船橋 病院長 井田 龍






